Размер шрифта: A A A
Цветовая схема:
Изображения: есть
+7 (473) 26-46-000
+7 (473) 212-24-98
Ежедневно с 8:00 до 22:00
+7 (473) 26-46-000
+7 (473) 212-24-98
Ежедневно с 8:00 до 22:00
+7 (473) 26-46-000
+7 (473) 212-24-98
Ежедневно с 8:00 до 22:00
Записаться
Поиск по сайту
Обратный звонок
В любое время
с 8:00 до 10:00
c 10:00 до 13:00
с 13:00 до 17:00
с 17:00 до 20:00
с 20:00 до 22:00
Нажимая кнопку «Перезвоните мне», я даю согласие на обработку моих персональных данных в соответствии с Политикой конфиденциальности.
Перезвоним в любое удобное
для вас время
Стоимость лечения:
Продолжительность:
1 визит
Мы создаём красивые и здоровые улыбки каждый день. Доверьтесь нашим виртуозным профессионалам и обретите безупречную улыбку. Наш опыт, современные технологии и сервис всегда к вашим услугам!
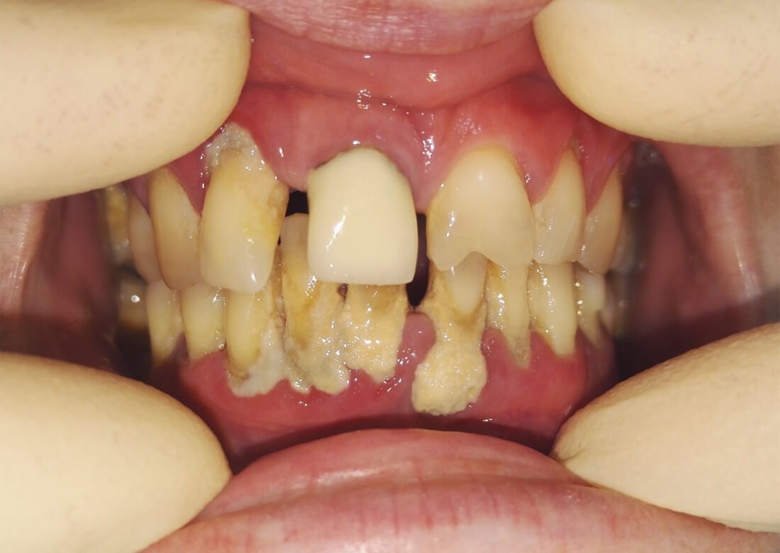
Диагностика и лечение

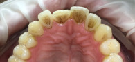
Профессиональная чистка

Результат работы

Пациентке нашей клиники требовалось устранить налёт на поверхности зубов. Врач-гигиенист Саражинская Валерия Владимировна провела осмотр полости рта и предложила провести процедуру профессиональной чистки зубов с помощью эффективных методик.

После процедуры пациентка осталась довольна результатом и внешним видом своих зубов. Проблема была успешно решена.

Всего за 1 визит Валерия Владимировна провела необходимые манипуляции и зубы пациентки стали гладкими, белыми и блестящими!

Процесс работы

Процедура профессиональной гигиены включала следующие этапы:

  • Осмотр и оценка состояния полости рта;
  • Удаление зубного камня с помощью ультразвукового скайлера
  • Устранение мягких зубных отложений аппаратом Air Flow;
  • Полировка зубов специальной пастой и щётками.
Сравните

До и после лечения

Виртуозы

Улыбку создавали

Саражинская (Кулинченко) Валерия Владимировна
стоматолог-терапевт, пародонтолог, гигиенист

Окончила Воронежский государственный медицинский университет им. Н.Н. Бурденко. Имеет квалификацию «врач-стоматолог» по специальности «стоматология». Сертифицированный доктор в терапевтической стоматологии.

О враче
1 / 5
Смотрите также

Другие работы

Мы поможем!
Получите консультацию
В любое время
с 8:00 до 10:00
c 10:00 до 13:00
с 13:00 до 17:00
с 17:00 до 20:00
с 20:00 до 22:00
С удовольствием ответим
на ваши вопросы
В ближайшее время с вами свяжется администратор нашей стоматологии
и уточнит детали