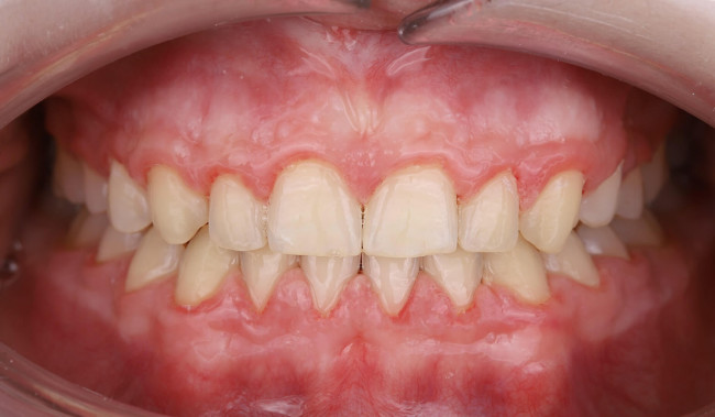
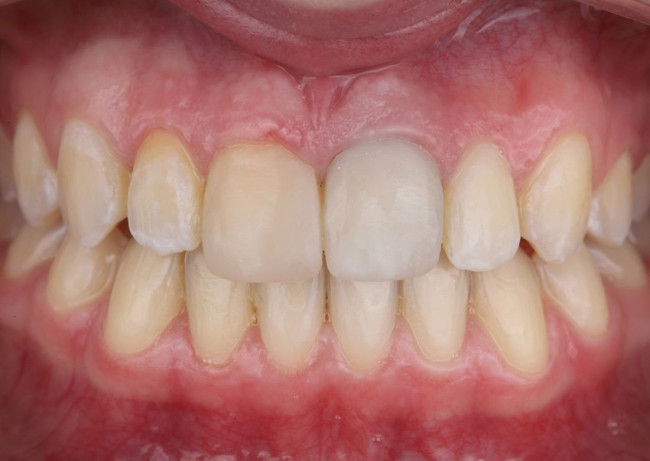
Колоссальный опыт стоматологов — визитная карточка клиники «Виртуоз» в Воронеже. Специально для вас мы создали страничку, на которой разместили портфолио с работами наших врачей.
Мы регулярно добавляем фото до и после лечения, чтобы вы могли посмотреть конечный результат работы и по достоинству оценить мастерство врачей-виртуозов.
За каждой счастливой улыбкой стоит живая история, в который мы принимали непосредственное участие. Мы всегда вникаем в ситуацию каждого отдельного пациента и переживаем её вместе с ним.
Видя вашу здоровую улыбку, мы улыбаемся вместе с вами. Спасибо, что выбрали и продолжаете выбирать нас!
 
        
     
        
     
                     
                
            
         
        
     
        
     
                     
                
            
         
        
     
        
     
                     
                
            
         
        
     
        
     
                     
                
            
         
        
     
        
     
                     
                
            
         
        
     
        
     
                    