График работы в выходные и праздничные дни
Размер шрифта: A A A
Цветовая схема:
Изображения: есть
+7 (473) 26-46-000
+7 (473) 212-24-98
Ежедневно с 8:00 до 22:00
+7 (473) 26-46-000
+7 (473) 212-24-98
Ежедневно с 8:00 до 22:00
+7 (473) 26-46-000
+7 (473) 212-24-98
Ежедневно с 8:00 до 22:00
Записаться
Поиск по сайту
Обратный звонок
В любое время
с 8:00 до 10:00
c 10:00 до 13:00
с 13:00 до 17:00
с 17:00 до 20:00
с 20:00 до 22:00
Нажимая кнопку «Перезвоните мне», я даю согласие на обработку моих персональных данных в соответствии с Политикой конфиденциальности.
Перезвоним в любое удобное
для вас время
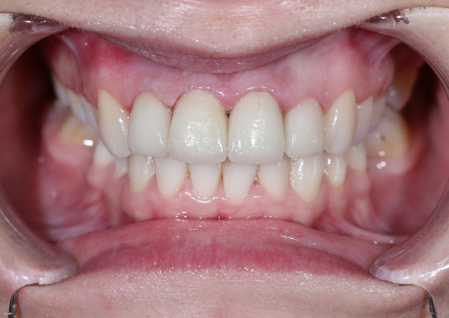
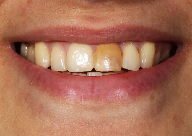
Протезы из безметалловой керамики приобретают всё большую популярность среди наших пациентов, так как обладают идеальными эстетическими свойствами
и ничем не отличаются от натуральных зубов.
Подробнее

Что надо знать о керамических коронках

Большой плюс керамики — она отлично скрывает дефекты и защищает живые ткани. Никто не определит, что ваши зубы — ненастоящие.
Более того, вы и сами не почувствуете разницы!

Керамика считается лучшим вариантом для восстановления эстетики в зоне улыбки. Она наглядно доказывает, что красота зубов — дело не только природное, но и наживное. Цельнокерамические коронки являются безусловным лидером протезирования передних зубов, а также применяются для протезирования жевательных.

Керамические протезы могут быть изготовлены несколькими способами на профессиональном оборудовании. К ним относятся: прессование, гальванопластика и  технология CAD/CAM.

Задумались, какой вариант подходит именно вам? Если сомневаетесь, обратитесь к нашим виртуозам! На консультации опытные доктора помогут оценить
плюсы разных способов протезирования.

Особенности

Преимущества керамических коронок

Врач по снимку КТ подбирает вариант протезирования

Ещё одно неоспоримое достоинство — минимальное препарирование зубов. Этот момент порой очень беспокоит пациентов, поэтому спешим обрадовать. Серьёзная обточка при установке не требуется!

Основной плюс — абсолютная натуральность и неотличимость от живых зубов благодаря светопрозрачности керамики. Конструкции идеально прилегают к десне и идентичны соседним зубам.

Керамика гипоаллергенна и не окрашивается со временем под воздействием пищевых красителей. Долговечность обусловлена отличной прочностью и абсолютной биосовместимостью с организмом человека.

Когда показана установка?

Дефекты зубного ряда
Неэстетичные сколы, небольшие разрушения, промежутки и другие недостатки легко можно скрыть с помощью коронок.
Отсутствие зубов
Если один или несколько передних зубов отсутствуют, керамика восстановит идеальный внешний вид.
Мосты или имплантация зубов
Для высокой натуральности стоматолог устанавливает керамические мосты или коронки на импланты.
Успейте до повышения цен!
Наши цены не растут, как доллар!
Удерживаем антикризисные цены, благодаря большому запасу материалов.

Стоимость услуг

Все цены
Услуги
Описание
Гарантия
Стоимость
Металлокерамические коронки Анестезия, обработка зуба, снятие оттисков, изготовление временной коронки, фиксация постоянной коронки
Анестезия, обработка зуба, снятие оттисков, изготовление временной коронки, фиксация постоянной коронки
от 16 000 ₽
до 25 000 ₽
Циркониевые коронки Анестезия, обработка зуба, снятие оттисков, изготовление временной коронки, фиксация постоянной коронки
Анестезия, обработка зуба, снятие оттисков, изготовление временной коронки, фиксация постоянной коронки
от 30 000 ₽
до 80 000 ₽
Керамические коронки E.Max Восковое моделирование Wax-up, анестезия, обработка зуба, временная реставрация прямым методом, фиксация коронки
Восковое моделирование Wax-up, анестезия, обработка зуба, временная реставрация прямым методом, фиксация коронки
до 15 лет
от 30 000 ₽
до 97 000 ₽

Цена зависит от материала изготовления и клинической ситуации. В стоимость
не включено лечение зуба, необходимость которого
определяет врач после осмотра.

Бесплатная консультация
Ежедневно с 8:00 до 22:00
Задайте вопросы по телефону: +7 (473) 26-46-000 или оставьте заявку, мы перезвоним.
Точный рассчёт стоимости
Итоговая цена фиксируется в договоре
и не изменяется. Никакого навязывания дополнительных услуг.
Оптимальный вариант лечения
Врач составляет план лечения, который оптимально подходит именно для вашего случая.
Знакомство с клиникой и врачом
Вы познакомитесь с врачом и клиникой, и получите ответы на все интересующие вас вопросы.

Центр стоматологии «Виртуоз» всегда предлагает своим пациентам выгодные и удобные условия лечения. Чтобы красота и здоровье стали для вас доступнее,
у нас всегда есть скидки, акции и подарки.

Валентина
Воспитатель в детском саду ,
57 лет

Со временем я потеряла часть зубов. В «Виртуозе» мне предложили инновационную услугу, когда зубы восстанавливают за один день.

Смотреть историю
Николай
Инженер ,
58 лет

Обратился в клинику «Виртуоз» из-за проблем пережёвывания пищи. Здесь мне предложили уникальное восстановление зубов за 1 день.

Смотреть историю
Ксения
Маркетолог ,
28 лет

В клинике «Виртуоз» я прошла лечение во сне без страха и негативных эмоций по фирменной программе «Антистресс».

Смотреть историю
Олег
Госслужащий ,
35 лет

Так случилось, что я потерял зуб. В «Виртуозе» мне помогли избавиться от дискомфорта с помощью установки импланта.

Смотреть историю
Александра
Топ-менеджер ,
29 лет

Моя улыбка была далека от идеальной. Мне посоветовали виниры, и через неделю лечения я была обладательницей шикарной улыбки.

Смотреть историю
Екатерина
Мама в декрете ,
34 года

Когда от зубной боли промаялась всю ночь, поняла, что поход к стоматологу неизбежен. Помимо вылеченных зубов в «Виртуозе» я приобрела семейного доктора.

Смотреть историю
Юрий
Работник банка ,
37 лет

С годами стал замечать, что на зубах стали появляться какие-то пятна. С помощью профессиональной гигиены мне вернули белоснежную улыбку.

Смотреть историю
Юлия
Бухгалтер ,
29 лет

С самого детства страдала из-за неправильного прикуса. Врачи клиники подарили мне вторую жизнь — лёгкую и уверенную.

Смотреть историю
Валентина
Воспитатель в детском саду ,
57 лет
Смотреть историю

Со временем я потеряла часть зубов. В «Виртуозе» мне предложили инновационную услугу, когда зубы восстанавливают за один день.

Николай
Инженер ,
58 лет
Смотреть историю

Обратился в клинику «Виртуоз» из-за проблем пережёвывания пищи. Здесь мне предложили уникальное восстановление зубов за 1 день.

Ксения
Маркетолог ,
28 лет
Смотреть историю

В клинике «Виртуоз» я прошла лечение во сне без страха и негативных эмоций по фирменной программе «Антистресс».

Олег
Госслужащий ,
35 лет
Смотреть историю

Так случилось, что я потерял зуб. В «Виртуозе» мне помогли избавиться от дискомфорта с помощью установки импланта.

Александра
Топ-менеджер ,
29 лет
Смотреть историю

Моя улыбка была далека от идеальной. Мне посоветовали виниры, и через неделю лечения я была обладательницей шикарной улыбки.

Екатерина
Мама в декрете ,
34 года
Смотреть историю

Когда от зубной боли промаялась всю ночь, поняла, что поход к стоматологу неизбежен. Помимо вылеченных зубов в «Виртуозе» я приобрела семейного доктора.

Юрий
Работник банка ,
37 лет
Смотреть историю

С годами стал замечать, что на зубах стали появляться какие-то пятна. С помощью профессиональной гигиены мне вернули белоснежную улыбку.

Юлия
Бухгалтер ,
29 лет
Смотреть историю

С самого детства страдала из-за неправильного прикуса. Врачи клиники подарили мне вторую жизнь — лёгкую и уверенную.

Валентина
Николай
Ксения
Олег
Александра
Екатерина
Юрий
Юлия
1 / 3

Меняем вашу улыбку, чтобы вы изменили свою жизнь к лучшему! Мы ценим вашу индивидуальность и помогаем достигнуть цели. Сделайте шаг
к своему здоровому будущему прямо сейчас!

Особенности

Отличия керамических коронок от других

Керамика

Проводится минимальная обточка, коронки делаются тонкими, поэтому травмирование зубов сведено к нулю. Идеальная эстетика — отлично пропускают свет, идентичны по цвету и сливаются с настоящими зубами. Однако, они стоят дороже. Цена считается выше средней по сравнению с иными видами коронок.

Другие материалы

Часто требуется сильная обточка, например, металлокерамические коронки требуют серьёзной препарации перед установкой. Недостаточная эстетика — к примеру, цирконий и металлокерамика уступают керамике в красоте и прозрачности. Но цена на иные виды умеренная, дешевле, чем керамика.

Подробнее
Показано: из
Этапы процедуры

Как будет проходить
установка коронки

Продолжительность лечения: ≈ 2-3 приёма
Подготовка
Установка
.01
Бесплатная консультация
На приёме наш доктор ответит на все ваши вопросы и назовёт стоимость работ
.02
Диагностика
Обязательная компьютерная томограмма для определения состояния зубов
.03
Лечение зубов
Если есть необходимость, то проводится предварительное лечение зубов или чистка
.04
Снятие слепков
После определения цвета и размера будущих коронок делают слепки для изготовления
.05
Минимальная обточка
Лёгкое препарирование зуба для придания нужной формы перед установкой конструкции
.06
Фиксация и коррекция
Коронки устанавливаются и фиксируются по эстетике и удобству для пациента

Возникли вопросы по установке или цене керамических коронок? Приходите на бесплатную консультацию в Центр стоматологии «Виртуоз» и наши опытные виртуозы
ответят на все ваши вопросы.

Рекомендации по уходу за коронками

Гигиена зубного ряда
Полоскание рта каждый раз после еды и обязательная чистка зубов 2 раза в день: утром и вечером.
Использование зубной нити
Тщательная и ежедневная чистка межзубных промежутков для избавления от остатков пищи.
Посещение стоматолога
Осмотр лечащим врачом 1-2 раза в год для профилактики и поддержания коронок в отличном состоянии.
Показано: 3 из
Гарантия

С нами вы уверены в результате!

Пациент оценивает свою новую улыбку

Мы за безопасное и комфортное лечение! Бесплатно консультируем
и подходим к каждому случаю индивидуально. Используем коффердам и аспирационную систему.

Сотрудничаем с производителями из Европы, США и Японии. Даём гарантию на материалы и работу. Заботимся о вас, как только
вы переступили порог клиники!

О нас говорят

Искренние отзывы наших клиентов

Лидия Карампали
Нет оценки
Выражаю глубокую благодарность доктору Селину Роману Васильевичу за высочайший профессионализм, внимательное и чуткое отношение к пациентам. Очень сложная работа по лечению и протезированию бала выполнена идеально и в кратчайщие сроки,установленные мной в связи с отъездом. Были учтены все мои просьбы и пожелания. Считаю, что название "Виртуоз" полностью соответствует клинике благодаря профессионализму таких врачей, как Селин Р.В.
8 марта 2018 г.
Керамические коронки
Селин Роман Васильевич
стоматолог-терапевт, хирург, имплантолог, ортопед
Лидия, добрый день! Большое Вам спасибо за отзыв! Будьте здоровы!
Усков Андрей
5.0
Возникла серьезная потребность в услугах хорошего врача-ортопеда, который делает качественное протезирование. Обратился по совету коллег к Логачеву Сергею Владимировичу. Его рекомендовали как настоящего профессионала, с очень умелыми руками и большим опытом. Стоматолог действительно оказался первоклассным, все процедуры были безболезненными. Сергей Владимирович очень ответственно относится к своей работе, поэтому ее результаты всегда получаются отличными.
27 февраля 2015 г.
Керамические коронки
Логачёв Сергей Владимирович
ортопед
Андрей, добрый день! Большое спасибо за приятный отзыв. Всегда рады Вам помочь. Будьте здоровы!
За все время
работы мы получили
5 200+
положительных
отзывов

Мы дорожим репутацией и всегда стремимся выполнять работу на высоком профессиональном уровне.
В 98% случаев мы гарантируем успешный результат лечения.
Спасибо, что выбираете нас!

Врачи-виртуозы

Наша команда специалистов

Селин
Роман Васильевич
Врач стоматолог-терапевт, хирург, имплантолог, ортопед
Гайворонская
Наталья Георгиевна
Врач стоматолог-терапевт, ортопед

В стоматологическом центре «Виртуоз» работает команда ведущих стоматологов
Воронежа с безупречной репутацией, которые справляются
с самыми сложными ситуациями.

Какой вариант лечения подходит вам? Ответы вы можете получить на бесплатной
консультации у наших виртуозов, которые подберут для вас
наиболее оптимальное решение.

Мы поможем!
Получите консультацию
В любое время
с 8:00 до 10:00
c 10:00 до 13:00
с 13:00 до 17:00
с 17:00 до 20:00
с 20:00 до 22:00
С удовольствием ответим
на ваши вопросы
В ближайшее время с вами свяжется администратор нашей стоматологии
и уточнит детали