График работы в выходные и праздничные дни
Размер шрифта: A A A
Цветовая схема:
Изображения: есть
+7 (473) 26-46-000
+7 (473) 212-24-98
Ежедневно с 8:00 до 22:00
+7 (473) 26-46-000
+7 (473) 212-24-98
Ежедневно с 8:00 до 22:00
+7 (473) 26-46-000
+7 (473) 212-24-98
Ежедневно с 8:00 до 22:00
Записаться
Поиск по сайту
Обратный звонок
В любое время
с 8:00 до 10:00
c 10:00 до 13:00
с 13:00 до 17:00
с 17:00 до 20:00
с 20:00 до 22:00
Нажимая кнопку «Перезвоните мне», я даю согласие на обработку моих персональных данных в соответствии с Политикой конфиденциальности.
Перезвоним в любое удобное
для вас время
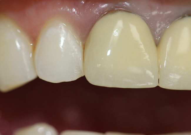
Износостойкие коронки из диоксида циркония отлично подходят не только для жевательных, но и для передних зубов. Цена циркониевых коронок на импланты оправдана их долговечностью и высоким уровнем эстетики.
Надёжный вариант

Чем знамениты циркониевые коронки

Протезы получаются анатомически правильными и похожими на натуральные зубы. Неудивительно, что они очень востребованы и популярны по всему миру. Узнайте больше о показаниях и преимуществах на нашем сайте и приходите на бесплатную консультацию в Центр стоматологии «Виртуоз»!

Оксид циркония применяется для изготовления коронок и мостовидных протезов уже более 10 лет. Это сверхпрочные и надёжные конструкции. Они состоят из двух слоёв: внутренний из диоксида циркония и внешний из облицовочной керамики. Такие протезы прилегают к десне очень плотно и успешно избавляют от попадания под них остатков пищи и вредоносных бактерий.

Также стоит отметить высокую эстетичность — можно подобрать цвет, соответствующий эмали. Благодаря инновационным технологиям компьютерного моделирования (CAD/CAM) вероятность ошибки исключена, и точность создания коронок максимальна.

Что лучше выбрать? Получите ответы на свои вопросы на бесплатной первичной консультации! Наши врачи проведут осмотр и расскажут вам
о вариантах, которые возможны в вашей ситуации.

Подробнее

Особенности циркониевых коронок

Врач проводит осмотр пациента

Помимо прочности и естественности, диоксид циркония отличается гипоаллергенностью. Коронки сделаны из материала, который не вызывает аллергию даже у очень чувствительных людей. Идеально приживаются в полости рта, не ощущаются как чужеродный объект и не окисляются.

Минусом считается цена циркониевых коронок. Но такой недостаток компенсируется долгим сроком службы и повышенной эстетикой. Если вы хотите качественный протез на длительное время, то подумайте над установкой диоксида циркония.

Когда показана установка

Видимые дефекты
или отсутствие зубов
Благодаря полупрозрачности цирконий устанавливают даже на передние зубы, это отличный эстетичный вариант.
Заболевания эндокринной
системы или крови
Если другие виды протезирования противопоказаны, врач посоветует коронки
из циркония.
Мостовидные протезы
или имплантация зубов
Малый вес материала позволяет устанавливать их на импланты
и использовать для мостов.
Успейте до повышения цен!
Наши цены не растут, как доллар!
Удерживаем антикризисные цены, благодаря большому запасу материалов.

Стоимость услуг

Все цены
Услуги
Описание
Гарантия
Стоимость
Металлокерамические коронки Анестезия, обработка зуба, снятие оттисков, изготовление временной коронки, фиксация постоянной коронки
Анестезия, обработка зуба, снятие оттисков, изготовление временной коронки, фиксация постоянной коронки
от 16 000 ₽
до 25 000 ₽
Циркониевые коронки Анестезия, обработка зуба, снятие оттисков, изготовление временной коронки, фиксация постоянной коронки
Анестезия, обработка зуба, снятие оттисков, изготовление временной коронки, фиксация постоянной коронки
от 30 000 ₽
до 80 000 ₽
Керамические коронки E.Max Восковое моделирование Wax-up, анестезия, обработка зуба, временная реставрация прямым методом, фиксация коронки
Восковое моделирование Wax-up, анестезия, обработка зуба, временная реставрация прямым методом, фиксация коронки
до 15 лет
от 30 000 ₽
до 97 000 ₽

В стоимость не включено возможное лечение зуба и его депульпирование
в качестве подготовки к протезированию. План лечения
составит врач после осмотра.

Бесплатная консультация
Ежедневно с 8:00 до 22:00
Задайте вопросы по телефону: +7 (473) 26-46-000 или оставьте заявку, мы перезвоним.
Точный рассчёт стоимости
Итоговая цена фиксируется в договоре
и не изменяется. Никакого навязывания дополнительных услуг.
Оптимальный вариант лечения
Врач составляет план лечения, который оптимально подходит именно для вашего случая.
Знакомство с клиникой и врачом
Вы познакомитесь с врачом и клиникой, и получите ответы на все интересующие вас вопросы.

Центр стоматологии «Виртуоз» всегда предлагает своим пациентам выгодные и удобные условия лечения. Чтобы красота и здоровье стали для вас доступнее,
у нас всегда есть скидки, акции и подарки.

Валентина
Воспитатель в детском саду ,
57 лет

Со временем я потеряла часть зубов. В «Виртуозе» мне предложили инновационную услугу, когда зубы восстанавливают за один день.

Смотреть историю
Николай
Инженер ,
58 лет

Обратился в клинику «Виртуоз» из-за проблем пережёвывания пищи. Здесь мне предложили уникальное восстановление зубов за 1 день.

Смотреть историю
Ксения
Маркетолог ,
28 лет

В клинике «Виртуоз» я прошла лечение во сне без страха и негативных эмоций по фирменной программе «Антистресс».

Смотреть историю
Олег
Госслужащий ,
35 лет

Так случилось, что я потерял зуб. В «Виртуозе» мне помогли избавиться от дискомфорта с помощью установки импланта.

Смотреть историю
Александра
Топ-менеджер ,
29 лет

Моя улыбка была далека от идеальной. Мне посоветовали виниры, и через неделю лечения я была обладательницей шикарной улыбки.

Смотреть историю
Екатерина
Мама в декрете ,
34 года

Когда от зубной боли промаялась всю ночь, поняла, что поход к стоматологу неизбежен. Помимо вылеченных зубов в «Виртуозе» я приобрела семейного доктора.

Смотреть историю
Юрий
Работник банка ,
37 лет

С годами стал замечать, что на зубах стали появляться какие-то пятна. С помощью профессиональной гигиены мне вернули белоснежную улыбку.

Смотреть историю
Юлия
Бухгалтер ,
29 лет

С самого детства страдала из-за неправильного прикуса. Врачи клиники подарили мне вторую жизнь — лёгкую и уверенную.

Смотреть историю
Валентина
Воспитатель в детском саду ,
57 лет
Смотреть историю

Со временем я потеряла часть зубов. В «Виртуозе» мне предложили инновационную услугу, когда зубы восстанавливают за один день.

Николай
Инженер ,
58 лет
Смотреть историю

Обратился в клинику «Виртуоз» из-за проблем пережёвывания пищи. Здесь мне предложили уникальное восстановление зубов за 1 день.

Ксения
Маркетолог ,
28 лет
Смотреть историю

В клинике «Виртуоз» я прошла лечение во сне без страха и негативных эмоций по фирменной программе «Антистресс».

Олег
Госслужащий ,
35 лет
Смотреть историю

Так случилось, что я потерял зуб. В «Виртуозе» мне помогли избавиться от дискомфорта с помощью установки импланта.

Александра
Топ-менеджер ,
29 лет
Смотреть историю

Моя улыбка была далека от идеальной. Мне посоветовали виниры, и через неделю лечения я была обладательницей шикарной улыбки.

Екатерина
Мама в декрете ,
34 года
Смотреть историю

Когда от зубной боли промаялась всю ночь, поняла, что поход к стоматологу неизбежен. Помимо вылеченных зубов в «Виртуозе» я приобрела семейного доктора.

Юрий
Работник банка ,
37 лет
Смотреть историю

С годами стал замечать, что на зубах стали появляться какие-то пятна. С помощью профессиональной гигиены мне вернули белоснежную улыбку.

Юлия
Бухгалтер ,
29 лет
Смотреть историю

С самого детства страдала из-за неправильного прикуса. Врачи клиники подарили мне вторую жизнь — лёгкую и уверенную.

Валентина
Николай
Ксения
Олег
Александра
Екатерина
Юрий
Юлия
1 / 3

Меняем вашу улыбку, чтобы вы изменили свою жизнь к лучшему! Мы ценим вашу индивидуальность и помогаем достигнуть цели. Сделайте шаг к своему
успешному и здоровому будущему прямо сейчас!

Этапы процедуры

Как проходит
установка коронки

Продолжительность лечения: ≈ 2-3 приёма
Подготовка
Установка
.01
Первичный осмотр
Знакомство с доктором, обсуждение плана лечения и озвучивание точной стоимости
.02
Обследование
Диагностика, компьютерная томограмма для получения полной картины полости рта
.03
Лечение зуба
Если есть воспаление, то доктор приступает к немедленному лечению
.04
Снятие слепков
Проводится выбор цвета и формы, а затем снятие слепков для изготовления коронки
.05
Обточка зуба
Препарирование и придание нужной формы лёгкой шлифовкой по краям
.06
Установка
Производится примерка и фиксация циркониевой коронки, коррекция

Мы предлагаем только проверенные варианты протезирования циркониевыми
коронками по цене, соответствующей качеству! Ваше здоровье
и комфорт — наши главные приоритеты!

Это интересно

Отличия циркония и металлокерамики

Цирконий

Не нужна сильная обточка. Толщина внутреннего слоя 0,4 мм, поэтому препарирование под корень не требуется. Коронки из циркония идентичны живым зубам, подбор цвета происходит под натуральную эмаль зуба. К тому же, они гипоаллергенны. Аллергия на диоксид циркония в стоматологической практике не зафиксирована.

Металлокерамика

Требуется сильная обточка и истончение зуба для закрепления коронки. Недостаточная эстетика — заметна тёмная линия коронки на границе с десной и возможно потемнение в будущем. Так же возможна аллергия. В стоматологической практике были зафиксированы случаи аллергии на металл.

Подробнее
Показано: из
Советы после лечения

Как продлить срок ношения коронок

Врач приступает к осмотру пациента

Гарантия на циркониевые коронки распространяется на 15 и более лет. Большое значение имеют опыт врача и сама процедура установки. Кроме того, вы обязательно должны соблюдать несложные правила по уходу за протезами, и они прослужат вам гораздо дольше намеченного срока.

Доктора Центра стоматологии «Виртуоз» на индивидуальном приёме непременно расскажут обо всех нюансах после установки коронок именно в вашем случае. Но общие рекомендации существует, и ниже мы предлагаем самые основные из них. Носите коронки долго и с удовольствием!

Рекомендации по уходу за коронками:

Полоскать рот после еды
Не забывайте полоскать рот, чтобы пища не застревала в межзубных промежутках.
Гигиеническая чистка зубов
Чистите зубы два раза в день специальной пастой, которую подобрал для вас стоматолог.
Не грызть твёрдое
Будьте аккуратнее с твёрдыми предметами, чтобы не повредить протез.
Показано: 3 из
Гарантия

Наши пациенты всегда
уверены в отличном
результате

Врач осматривает пациента

Мы за безопасное и комфортное лечение! Бесплатно консультируем и подходим к каждому случаю индивидуально. Используем коффердам и аспирационную систему. Сотрудничаем с производителями из Европы, США и Японии. Даём гарантию на материалы и работу. Заботимся о вас, как только вы переступили порог клиники!

О нас говорят

Искренние отзывы наших клиентов

Никулина Елена
5.0
Сергей Владимирович Логачев — настоящий профессионал своего дела с чутким отношением к пациентам! Я с детства боюсь стоматологов, поэтому оттягивала лечение до последнего. В итоге потребовалась помощь врача-ортопеда. По совету подруги обратилась в «Виртуоз» к Сергею Владимировичу, и осталась очень довольна процессом и результатом лечения — все прошло быстро и безболезненно. Большое спасибо!
22 мая 2016 г.
Циркониевые коронки
Логачёв Сергей Владимирович
ортопед
Елена, добрый день! Большое Вам спасибо за душевный отзыв! Будьте здоровы!
За все время
работы мы получили
5 200+
положительных
отзывов

Мы дорожим репутацией и всегда стремимся выполнять работу на высоком профессиональном уровне.
В 98% случаев мы гарантируем успешный результат лечения.
Спасибо, что выбираете нас!

Врачи-виртуозы

Наша команда специалистов

Селин
Роман Васильевич
Врач стоматолог-терапевт, хирург, имплантолог, ортопед
Гайворонская
Наталья Георгиевна
Врач стоматолог-терапевт, ортопед

В стоматологическом центре «Виртуоз» работает команда ведущих стоматологов
Воронежа с безупречной репутацией, которые справляются
с самыми сложными ситуациями.

Какой вариант лечения подходит вам? Ответы вы можете получить на бесплатной
консультации у наших виртуозов, которые подберут для вас
наиболее оптимальное решение.

Мы поможем!
Получите консультацию
В любое время
с 8:00 до 10:00
c 10:00 до 13:00
с 13:00 до 17:00
с 17:00 до 20:00
с 20:00 до 22:00
С удовольствием ответим
на ваши вопросы
В ближайшее время с вами свяжется администратор нашей стоматологии
и уточнит детали