
37 лет
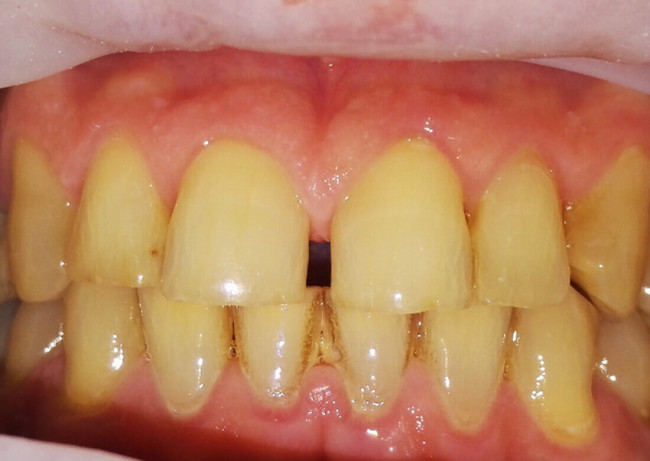
С годами стал замечать, что на зубах стали появляться какие-то пятна. С помощью профессиональной гигиены мне вернули белоснежную улыбку.
Во избежание развития серьёзных заболеваний тканей пародонта врачи рекомендуют вовремя проходить процедуру профессиональной гигиены полости рта.
Твёрдые отложения на эмали — это не только эстетический недостаток, но и предпосылки кариозного поражения тканей.
Зубной камень представляет собой скопление вредных микроогранизмов и бактерий, которые ведут к деминерализации эмали. Вначале она утрачивает свой натуральный цвет, а затем появляются очаги кариеса. Дёсны становятся рыхлыми и кровоточат, что грозит заболеваниями пародонта.
После визуального осмотра, ориентируясь на клиническую ситуацию, врач подберёт оптимальный комплекс необходимых мер по удалению наддесневых
и поддесневых отложений и очищению эмали.
Постепенно налёт твердеет и превращается в камень. Разрастание камня происходит медленно — от десны к режущему краю.
Если не принять соответствующие меры, то ситуация постепенно усугубляется.
У некоторых людей он разрастается быстро, у других формируется медленно. От чего это зависит? От природных особенностей
и свойств слюны. Но есть и более общие причины, например, неправильная гигиена полости рта, преобладание углеводистой пищи, искривление зубного ряда и ношение брекетов.
Мягкий налёт возникает уже спустя 1-2 дня без чистки зубов. Минералы в отложениях скапливаются и приводят к увеличению концентрации солей.
В цену на профессиональную гигиену полости рта верхней и нижней челюсти входят: обработка с помощью ультразвуковой техники (наддесневая и поддесневая область), обработка пескоструйным методом Air Flow (осветление эмали), полирование зубов профессиональными зубными пастами.
Зубной камень может возникнуть даже у маленьких детей, необходимость его удаления определяет стоматолог
Лазерная чистка. Абсолютно безболезненный и безопасный метод удаления камня, но его стоимость гораздо выше других перечисленных способов.
Технология Air Flow. Применяется на начальных этапах возникновения камня. Суть его в воздействии на эмаль воздушно-водной струи. Не подходит для удаления поддесневого камня.
Механическая чистка. Это классический метод с применением крючков и кюреток. В качестве её недостатков отмечают болезненность и риск повреждения эмали.
Ультразвуковая чистка. Современная и эффективная методика. Суть процедуры заключается в воздействии ультразвуковой волны
на эмаль зуба и разрушении твёрдых образований.
Мы за безопасное и комфортное лечение! Бесплатно консультируем
и подходим к каждому случаю индивидуально. Даём гарантию
на материалы и работу.
Используем коффердам и аспирационную систему. Сотрудничаем
с производителями из Европы, США и Японии. Заботимся о вас,
как только вы переступили порог клиники!
В стоматологическом центре «Виртуоз» работает команда ведущих стоматологов
Воронежа с безупречной репутацией, которые справляются
с самыми сложными ситуациями.
Какой вариант лечения подходит вам? Ответы вы можете получить на бесплатной
консультации у наших виртуозов, которые подберут для вас
наиболее оптимальное решение.