Размер шрифта: A A A
Цветовая схема:
Изображения: есть
+7 (473) 26-46-000
+7 (473) 212-24-98
Ежедневно с 8:00 до 22:00
+7 (473) 26-46-000
+7 (473) 212-24-98
Ежедневно с 8:00 до 22:00
+7 (473) 26-46-000
+7 (473) 212-24-98
Ежедневно с 8:00 до 22:00
Записаться
Поиск по сайту
Обратный звонок
В любое время
с 8:00 до 10:00
c 10:00 до 13:00
с 13:00 до 17:00
с 17:00 до 20:00
с 20:00 до 22:00
Нажимая кнопку «Перезвоните мне», я даю согласие на обработку моих персональных данных в соответствии с Политикой конфиденциальности.
Перезвоним в любое удобное
для вас время
Мы благодарны всем, кто остановил свой выбор на стоматологическом центре «Виртуоз» и стал нашим постоянным клиентом. Мы рады, что вы высоко оцениваете качество нашего обслуживания и мастерство врачей-виртуозов!
Многолетний опыт

Решаем самые сложные проблемы

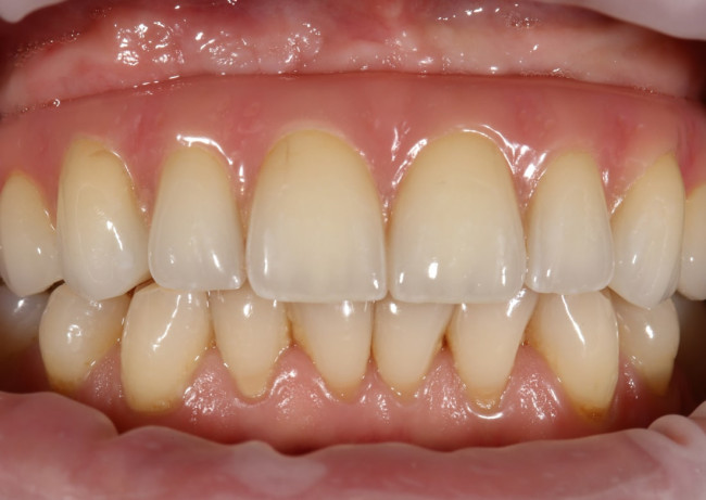
Колоссальный опыт стоматологов — визитная карточка клиники «Виртуоз» в Воронеже. Специально для вас мы создали страничку, на которой разместили портфолио с работами наших врачей.

Мы регулярно добавляем фото до и после лечения, чтобы вы могли посмотреть конечный результат работы и по достоинству оценить мастерство врачей-виртуозов.

За каждой счастливой улыбкой стоит живая история, в который мы принимали непосредственное участие. Мы всегда вникаем в ситуацию каждого отдельного пациента и переживаем её вместе с ним.

Видя вашу здоровую улыбку, мы улыбаемся вместе с вами. Спасибо, что выбрали и продолжаете выбирать нас!

Выберите услугу
Показано: 6 из 10
Показать ещё
Мы поможем!
Получите консультацию
В любое время
с 8:00 до 10:00
c 10:00 до 13:00
с 13:00 до 17:00
с 17:00 до 20:00
с 20:00 до 22:00
С удовольствием ответим
на ваши вопросы
В ближайшее время с вами свяжется администратор нашей стоматологии
и уточнит детали