График работы в выходные и праздничные дни
Размер шрифта: A A A
Цветовая схема:
Изображения: есть
+7 (473) 26-46-000
+7 (473) 212-24-98
Ежедневно с 8:00 до 22:00
+7 (473) 26-46-000
+7 (473) 212-24-98
Ежедневно с 8:00 до 22:00
+7 (473) 26-46-000
+7 (473) 212-24-98
Ежедневно с 8:00 до 22:00
Записаться
Поиск по сайту
Обратный звонок
В любое время
с 8:00 до 10:00
c 10:00 до 13:00
с 13:00 до 17:00
с 17:00 до 20:00
с 20:00 до 22:00
Нажимая кнопку «Перезвоните мне», я даю согласие на обработку моих персональных данных в соответствии с Политикой конфиденциальности.
Перезвоним в любое удобное
для вас время
Стоимость лечения:
Продолжительность:
1 визит
Мы создаём красивые и здоровые улыбки каждый день. Доверьтесь нашим виртуозным профессионалам и обретите безупречную улыбку. Наш опыт, современные технологии и сервис всегда к вашим услугам!
Диагностика и лечение

Профессиональная чистка

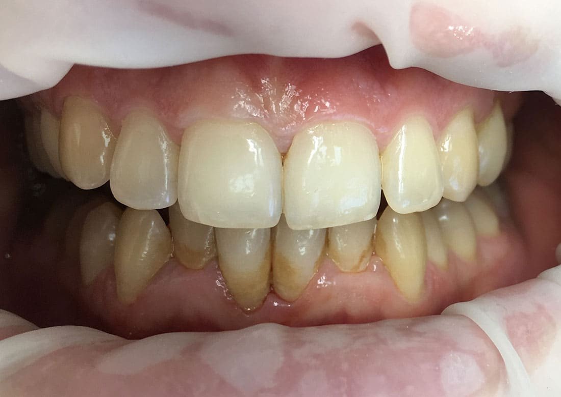
Результат работы

Пациет нашей клиники обратился с желанием устранить тёмный налёт на поверхности зубов. Гигиенист Саражинская Валерия Владимировна после осмотра предложила провести процедуру профессиональной гигиены полости рта для восстановления эстетики улыбки.

Профессиональная гигиена полости рта помогла сделать улыбку более привлекательной и здоровой

Процесс работы

Процедура проходила в несколько элапов:

  • Визуальная оценка состояния полости рта;
  • Снятие зубного камня ультразвуковым аппаратом;
  • Удаление мягких наддесневых зубных отложений методом Air Flow;
  • Полировка зубов специальной пастой и щётками.
Сравните

До и после лечения

Виртуозы

Улыбку создавали

Саражинская (Кулинченко) Валерия Владимировна
стоматолог-терапевт, пародонтолог, гигиенист

Окончила Воронежский государственный медицинский университет им. Н.Н. Бурденко. Имеет квалификацию «врач-стоматолог» по специальности «стоматология». Сертифицированный доктор в терапевтической стоматологии.

О враче
1 / 5
Смотрите также

Другие работы

Мы поможем!
Получите консультацию
В любое время
с 8:00 до 10:00
c 10:00 до 13:00
с 13:00 до 17:00
с 17:00 до 20:00
с 20:00 до 22:00
С удовольствием ответим
на ваши вопросы
В ближайшее время с вами свяжется администратор нашей стоматологии
и уточнит детали