График работы в выходные и праздничные дни
Размер шрифта: A A A
Цветовая схема:
Изображения: есть
+7 (473) 26-46-000
+7 (473) 212-24-98
Ежедневно с 8:00 до 22:00
+7 (473) 26-46-000
+7 (473) 212-24-98
Ежедневно с 8:00 до 22:00
+7 (473) 26-46-000
+7 (473) 212-24-98
Ежедневно с 8:00 до 22:00
Записаться
Поиск по сайту
Обратный звонок
В любое время
с 8:00 до 10:00
c 10:00 до 13:00
с 13:00 до 17:00
с 17:00 до 20:00
с 20:00 до 22:00
Нажимая кнопку «Перезвоните мне», я даю согласие на обработку моих персональных данных в соответствии с Политикой конфиденциальности.
Перезвоним в любое удобное
для вас время
Стоимость лечения:
Продолжительность:
2 визита
Мы создаём красивые и здоровые улыбки каждый день. Доверьтесь нашим виртуозным профессионалам и обретите безупречную улыбку. Наш опыт, современные технологии и сервис всегда к вашим услугам!
Диагностика и лечение

Профессиональная чистка

Результат работы

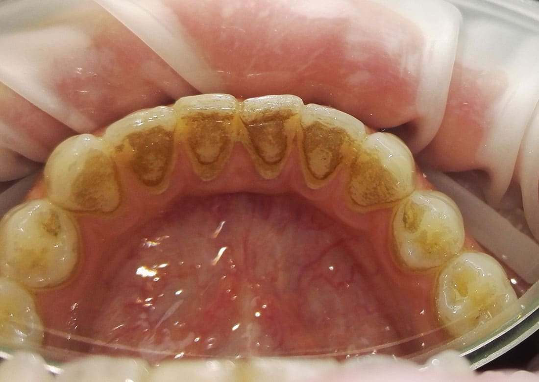
В клинику обратилиась пациентка, которую сильно беспокоил тёмный налёт на зубах. Наш специалист Саражинская Валерия Владимировна провела осмотр и предложила пациентке эффективную процедуру профессиональной гигиены.

После проведённой процедуры пациентка осталась очень довольна состоянием зубов

За 2 визита наш виртуозный специалист Валерия Владимировна провела удаление мягкого и твёрдого зубного налёта. В результате зубы стали гладкими и блестящими!

Процесс работы

Валерия Владимировна провела профессиональную гигиену полости рта, которая состояла из нескольких этапов:

  • Оценка состояния полости рта;
  • Снятие зубного камня ультразвуковым скейлером;
  • Удаление мягких наддесневых зубных отложений методом Air Flow;
  • Полировка зубов специальной пастой и щётками.
Сравните

До и после лечения

Виртуозы

Улыбку создавали

Саражинская (Кулинченко) Валерия Владимировна
стоматолог-терапевт, пародонтолог, гигиенист

Окончила Воронежский государственный медицинский университет им. Н.Н. Бурденко. Имеет квалификацию «врач-стоматолог» по специальности «стоматология». Сертифицированный доктор в терапевтической стоматологии.

О враче
1 / 5
Смотрите также

Другие работы

Мы поможем!
Получите консультацию
В любое время
с 8:00 до 10:00
c 10:00 до 13:00
с 13:00 до 17:00
с 17:00 до 20:00
с 20:00 до 22:00
С удовольствием ответим
на ваши вопросы
В ближайшее время с вами свяжется администратор нашей стоматологии
и уточнит детали