График работы в выходные и праздничные дни
Размер шрифта: A A A
Цветовая схема:
Изображения: есть
+7 (473) 26-46-000
+7 (473) 212-24-98
Ежедневно с 8:00 до 22:00
+7 (473) 26-46-000
+7 (473) 212-24-98
Ежедневно с 8:00 до 22:00
+7 (473) 26-46-000
+7 (473) 212-24-98
Ежедневно с 8:00 до 22:00
Записаться
Поиск по сайту
Обратный звонок
В любое время
с 8:00 до 10:00
c 10:00 до 13:00
с 13:00 до 17:00
с 17:00 до 20:00
с 20:00 до 22:00
Нажимая кнопку «Перезвоните мне», я даю согласие на обработку моих персональных данных в соответствии с Политикой конфиденциальности.
Перезвоним в любое удобное
для вас время
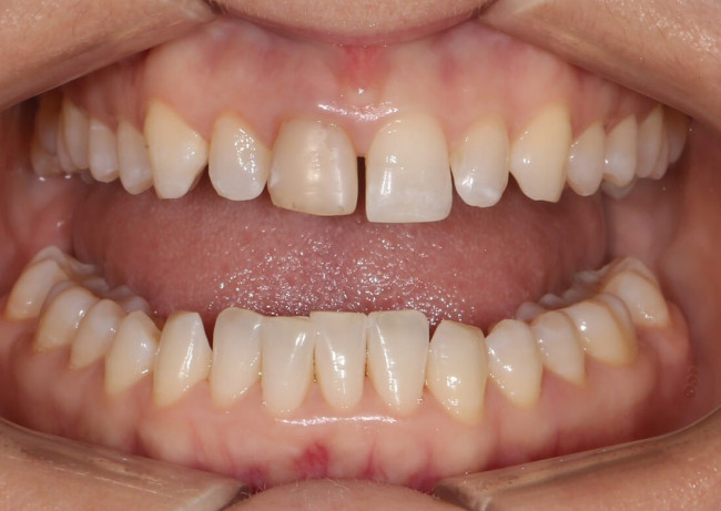
Хотите безупречную улыбку? Теперь нет ничего проще! Центр стоматологии «Виртуоз» предлагает установку керамических виниров по выгодной цене. Наслажлайтесь
улыбкой и сверкайте новыми зубками!
Причины

Почему выбирают
E-Max

Виниры изготавливаются по уникальной компьютерной технологии, благодаря чему идеально прилегают к зубу с точностью, просчитанной до микрона.

Фирма-производитель Ivoclar Vivadent (Германия) уже более 20 лет выпускает качественные керамические накладки на зубы по приемлемой цене. Они предназначены для коррекции в зоне улыбки и создания идеальной эстетики.

Виниры получают путём прессования и термической обработки. В итоге выходит однородная и прочная конструкция, которая может служить в течение 10 лет.

Плюсы

Преимущества E-Max

Подбор цвета виниров

Это устойчивый и надёжный материал, безопасный даже для аллергиков. Процесс обработки включает компьютерное моделирование, что помогает достичь высокого качества протеза.

Керамические виниры закрепляются с использованием специального клея, который защищает от кариеса. Благодаря абсолютной биосовместимости они не влияют на десну негативно и ощущаются как свои зубы.

Показания для установки

Пятна
Появление на эмали желтоватых и коричневых пятен, нарушающих эстетику.
Диастемы
Наличие щелей и промежутков между одним или несколькими передними зубами.
Сколы
Трещины и повреждения эмали, дефекты зубного ряда в зоне улыбки.
Успейте до повышения цен!
Наши цены не растут, как доллар!
Удерживаем антикризисные цены, благодаря большому запасу материалов.

Стоимость услуг

Все цены
Услуги
Описание
Гарантия
Стоимость
Виниры Все манипуляции по изготовлению и установке виниров, коррекция, все дальнейшие осмотры
Все манипуляции по изготовлению и установке виниров, коррекция, все дальнейшие осмотры
от 30 000 ₽
до 80 000 ₽

В цену керамических виниров E-Max входит: манипуляции по изготовлению и установке винира, все дальнейшие осмотры, коррекция конструкции и гарантия. Стоимость
зависит от количества накладок и особенностей ситуации.

Бесплатная консультация
Ежедневно с 8:00 до 22:00
Задайте вопросы по телефону: +7 (473) 26-46-000 или оставьте заявку, мы перезвоним.
Точный рассчёт стоимости
Итоговая цена фиксируется в договоре
и не изменяется. Никакого навязывания дополнительных услуг.
Оптимальный вариант лечения
Врач составляет план лечения, который оптимально подходит именно для вашего случая.
Знакомство с клиникой и врачом
Вы познакомитесь с врачом и клиникой, и получите ответы на все интересующие вас вопросы.

Центр стоматологии «Виртуоз» всегда предлагает удобные условия лечения.
Чтобы красота и здоровье стали для вас доступнее, у нас
всегда есть скидки, акции и подарки.

Этапы установки керамических виниров

Продолжительность лечения: ≈ 5-7 дней
Подготовка
Установка
.01
Лечение
Возможна предварительная чистка зубов для установки на здоровые зубы
.02
Препарирование
Обточка зуба и снятие слепка для изготовления временного протеза
.03
Изготовление
Производство тонких пластин в лаборатории по созданным оттискам
.04
Примерка
Прикладывание пластин для подтверждения подходящих размера и формы
.05
Коррекция
При необходимости врач совместно с техником корректируют накладку
.06
Фиксация
Закрепление виниров E-Max на цементе и коррекция по прикусу и форме

После процедур наш доктор обязательно проверяет состояние соседних зубов, прикус и самочувствие пациента. Максимальный результат
и ваш комфорт — наши прерогативы.

Рекомендации по уходу

Отказ от красящей пищи
В первые часы после установки следует воздержаться от приёма красителей.
Бережное отношение
Избегание травм передних зубов, не следует грызть орехи и другую твёрдую пищу.
Тщательная гигиена
Профессиональная чистка зубов у врача-стоматолога каждые 6 месяцев.
Показано: 3 из
Результаты лечения

Примеры работ

Установка виниров E.Max Виниры
Стоимость лечения:
Срок: 3 визита
Смотреть работу
Установка виниров Виниры
Стоимость лечения:
Срок: 2 визита
Смотреть работу
Гарантия

С нами вы уверены в отличном результате

Процесс установки виниров

Мы за безопасное и комфортное лечение! Бесплатно консультируем
и подходим к каждому случаю индивидуально. Даём гарантию
на материалы и работу.

Используем коффердам и аспирационную систему. Сотрудничаем
с производителями из Европы, США и Японии. Заботимся о вас,
как только вы переступили порог клиники!

О нас говорят

Искренние отзывы наших клиентов

Мария Трубецкая
Нет оценки
Хочу отметить высокий профессионализм , внимательность и чуткость врача-гигиениста Назаровой Анны Александровны, у которой регулярно на протяжении 4 лет делаю профгигиену полости рта, а также делала лазерное отбеливание зубов перед установкой коронок и виниров, очень довольна результатом. Очень благодарна Перфильеву Игорю Николаевичу за отличную терапию и установку коронок и виниров, за прекрасный эстетический результат. Талантливые специалисты, очень хорошо знающие и выполняющие свою работу. За доброту, терпение, понимание и внимание, за высокий уровень обслуживания хочу поблагодарить весь коллектив клиники "Виртуоз".
17 февраля 2017 г.
Керамические виниры
Перфильев Игорь Николаевич
имплантолог, стоматолог-терапевт, стоматолог-хирург, ортопед
Мария, добрый день! Благодарю Вас за высокую оценку работы от всей нашей клиники! Будьте здоровы!
Алина Иванова
Нет оценки
Здравствуйте! Не могу не оставить свой отзыв, ведь для меня стоматология Виртуоз - это стоматологическая клиника нового покаления, где не только персонал тебе улыбается и приветлив , но и качество предоставляемых услуг на высшем уровне. Поэтому и не жаль выразить свою благодарность всем тем, кто работает в стоматологии Виртуоз.
18 мая 2016 г.
Керамические виниры
Астапова Елена Сергеевна
Менеджер клиники «Виртуоз»
Алина, добрый день! Большое Вам спасибо за чудесный отзыв! Будьте здоровы!
За все время
работы мы получили
5 200+
положительных
отзывов

Мы дорожим репутацией и всегда стремимся выполнять работу на высоком профессиональном уровне.
В 98% случаев мы гарантируем успешный результат лечения.
Спасибо, что выбираете нас!

Врачи-виртуозы

Наша команда специалистов

Селин
Роман Васильевич
Врач стоматолог-терапевт, хирург, имплантолог, ортопед
Гайворонская
Наталья Георгиевна
Врач стоматолог-терапевт, ортопед

В стоматологическом центре «Виртуоз» работает команда ведущих стоматологов
Воронежа с безупречной репутацией, которые справляются
с самыми сложными ситуациями.

Какой вариант лечения подходит вам? Ответы вы можете получить на бесплатной
консультации у наших виртуозов, которые подберут для вас
наиболее оптимальное решение.

Мы поможем!
Получите консультацию
В любое время
с 8:00 до 10:00
c 10:00 до 13:00
с 13:00 до 17:00
с 17:00 до 20:00
с 20:00 до 22:00
С удовольствием ответим
на ваши вопросы
В ближайшее время с вами свяжется администратор нашей стоматологии
и уточнит детали