График работы в выходные и праздничные дни
Размер шрифта: A A A
Цветовая схема:
Изображения: есть
+7 (473) 26-46-000
+7 (473) 212-24-98
Ежедневно с 8:00 до 22:00
+7 (473) 26-46-000
+7 (473) 212-24-98
Ежедневно с 8:00 до 22:00
+7 (473) 26-46-000
+7 (473) 212-24-98
Ежедневно с 8:00 до 22:00
Записаться
Поиск по сайту
Обратный звонок
В любое время
с 8:00 до 10:00
c 10:00 до 13:00
с 13:00 до 17:00
с 17:00 до 20:00
с 20:00 до 22:00
Нажимая кнопку «Перезвоните мне», я даю согласие на обработку моих персональных данных в соответствии с Политикой конфиденциальности.
Перезвоним в любое удобное
для вас время
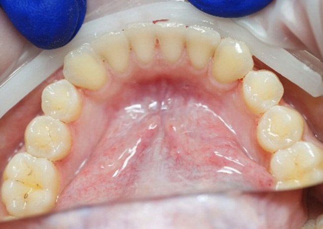
Даже регулярный домашний уход за полостью рта не всегда спасает от твёрдого налёта или зубного камня. Чтобы избавиться от них, врачи рекомендуют проводить
ультразвуковую чистку зубов 1-2 раза в год.
Современная методика

Что такое снятие зубных отложений УЗ

Ультразвук настроен на определённую частоту, поэтому безопасно удаляет зубной камень и налёт, оказывая минимальное воздействие на эмаль и не травмируя её.

Это современная технология снятия зубных отложений ультразвуковым скайлером. Больше не нужно терпеть боль от ручных инструментов! В отличие от механического воздействия, снятие зубных отложений ультразвуковым не травмирует эмаль и дёсны.

Волны ультразвука снимают видимый налёт и устраняют бактериальные скопления. Данный процесс входит в комплекс процедур профессиональной гигиены полости рта.

Все процедуры входят в комплексную услугу профессиональной гигены полости рта. После осмотра врач составит оптимальный план лечения, который подходит
именно вашей клинической ситуации.

Особенности

Технология очищения УЗ

Врач рассказывает о технологии УЗ чистки

СнятиеСнятие твёрдых зубных отложений с помощью ультразвука зубных отложений ультразвуковым проводится с помощью скайлера. Это аппарат, который воздействует на твёрдый налёт волнами определённой частоты, что вызывает дробление зубного камня. Колебания волн вызываются наконечником, а струя воды подкрепляет результат и усиливает эффект очищения.

Процедура безболезненна, совершенно безопасна и для пациента очень комфортна. Влияние волн на эмаль щадящее, применение анестезии не требуется. Длительность процедуры не превышает 2-х часов, поэтому вы получите здоровую улыбку в день посещения!

Успейте до повышения цен!
Наши цены не растут, как доллар!
Удерживаем антикризисные цены, благодаря большому запасу материалов.

Стоимость услуг

Все цены
Услуги
Описание
Гарантия
Стоимость
Профессиональная гигиена полости рта (1-ая степень сложности) Определение индексов гигиены полости рта, точечная обработка ультразвуком, обработка всех зубов пескоструйным методом Air Flow, полирование профессиональными пастами, обучение гигиене
Определение индексов гигиены полости рта, точечная обработка ультразвуком, обработка всех зубов пескоструйным методом Air Flow, полирование профессиональными пастами, обучение гигиене
6 000 ₽
Профессиональная гигиена полости рта (2-ая степень сложности) Определение индексов гигиены полости рта, обработка всех зубов аппаратом Air Flow, снятие поддесневых отложений ультразвуком (на глубину до 3 мм), полирование зубов, обучение гигиене
Определение индексов гигиены полости рта, обработка всех зубов аппаратом Air Flow, снятие поддесневых отложений ультразвуком (на глубину до 3 мм), полирование зубов, обучение гигиене
6 880 ₽
Профессиональная гигиена полости рта (3-я степень сложности) Определение индексов гигиены полости рта, обработка аппаратом Air Flow, снятие поддесневых отложений ультразвуком (на глубину до 5 мм), стерилизация зубодесневых карманов (машинная обработка), полирование пастами, рекомендации по лечению
Определение индексов гигиены полости рта, обработка аппаратом Air Flow, снятие поддесневых отложений ультразвуком (на глубину до 5 мм), стерилизация зубодесневых карманов (машинная обработка), полирование пастами, рекомендации по лечению
7 880 ₽

В цену на профессиональную гигиену полости рта верхней и нижней челюсти входят: обработка с помощью ультразвуковой техники (наддесневая и поддесневая область), обработка пескоструйным методом Air Flow (осветление эмали), полирование зубов профессиональными зубными пастами.

Бесплатная консультация
Ежедневно с 8:00 до 22:00
Задайте вопросы по телефону: +7 (473) 26-46-000 или оставьте заявку, мы перезвоним.
Точный рассчёт стоимости
Итоговая цена фиксируется в договоре
и не изменяется. Никакого навязывания дополнительных услуг.
Оптимальный вариант лечения
Врач составляет план лечения, который оптимально подходит именно для вашего случая.
Знакомство с клиникой и врачом
Вы познакомитесь с врачом и клиникой, и получите ответы на все интересующие вас вопросы.

Наша стоматология всегда предлагает пациентам выгодные цены и удобные условия лечения. Чтобы красота и здоровье стали для вас доступнее,
у  нас  всегда  есть  скидки,  акции и подарки.

Юрий
Работник банка ,
37 лет

С годами стал замечать, что на зубах стали появляться какие-то пятна. С помощью профессиональной гигиены мне вернули белоснежную улыбку.

Смотреть историю
Екатерина
Мама в декрете ,
34 года

Когда от зубной боли промаялась всю ночь, поняла, что поход к стоматологу неизбежен. Помимо вылеченных зубов в «Виртуозе» я приобрела семейного доктора.

Смотреть историю
Александра
Топ-менеджер ,
29 лет

Моя улыбка была далека от идеальной. Мне посоветовали виниры, и через неделю лечения я была обладательницей шикарной улыбки.

Смотреть историю
Олег
Госслужащий ,
35 лет

Так случилось, что я потерял зуб. В «Виртуозе» мне помогли избавиться от дискомфорта с помощью установки импланта.

Смотреть историю
Валентина
Воспитатель в детском саду ,
57 лет

Со временем я потеряла часть зубов. В «Виртуозе» мне предложили инновационную услугу, когда зубы восстанавливают за один день.

Смотреть историю
Юлия
Бухгалтер ,
29 лет

С самого детства страдала из-за неправильного прикуса. Врачи клиники подарили мне вторую жизнь — лёгкую и уверенную.

Смотреть историю
Юрий
Работник банка ,
37 лет
Смотреть историю

С годами стал замечать, что на зубах стали появляться какие-то пятна. С помощью профессиональной гигиены мне вернули белоснежную улыбку.

Екатерина
Мама в декрете ,
34 года
Смотреть историю

Когда от зубной боли промаялась всю ночь, поняла, что поход к стоматологу неизбежен. Помимо вылеченных зубов в «Виртуозе» я приобрела семейного доктора.

Александра
Топ-менеджер ,
29 лет
Смотреть историю

Моя улыбка была далека от идеальной. Мне посоветовали виниры, и через неделю лечения я была обладательницей шикарной улыбки.

Олег
Госслужащий ,
35 лет
Смотреть историю

Так случилось, что я потерял зуб. В «Виртуозе» мне помогли избавиться от дискомфорта с помощью установки импланта.

Валентина
Воспитатель в детском саду ,
57 лет
Смотреть историю

Со временем я потеряла часть зубов. В «Виртуозе» мне предложили инновационную услугу, когда зубы восстанавливают за один день.

Юлия
Бухгалтер ,
29 лет
Смотреть историю

С самого детства страдала из-за неправильного прикуса. Врачи клиники подарили мне вторую жизнь — лёгкую и уверенную.

Юрий
Екатерина
Александра
Олег
Валентина
Юлия
1 / 3

Мечтаете о красивой и здоровой улыбке? Сделайте первый шаг на пути к своей мечте и запишитесь на бесплатную консультацию в Центр стоматологии «Виртуоз».
Наши  врачи обязательно вам помогут!

Стоматологи советуют приходить на процедуру профессиональной гигиены 2 раза в год

Этапы процедуры

Как проводится профессиональная
гигиена полости рта

Продолжительность лечения: ≈ 1 час
Подготовка
Чистка
.01
Консультация
Тщательный осмотр ротовой полости для оценки состояния эмали и дёсен
.02
Обработка
Врач обрабатывает полость рта антисептиком и снимает остатки влаги сухой салфеткой
.03
Нанесение геля
Доктор наносит на подготовленную эмаль специальный гелевый состав
.04
Скайлер
С помощью профессионального аппарата стоматолог удаляет налёт и отложения
.05
Полировка
Зубы полируются специальными щётками и пастами с фтором и кальцием

Каждый этап лечения в нашей клинике проходит под контролем опытных врачей - cтоматологов. Вы можете быть уверены в качестве
и  эффективности  процедуры профгигиены!

Уход за полостью рта после чистки

Чистка зубов каждый раз после еды
При этом пользуйтесь пастой и щёткой для чувствительных зубов.
Воздержитесь от красящей пищи
Придётся повременить с вином, кофе, чаем, морковью и натуральными соками.
Исключите алкоголь и курение
При возможности на откажитесь от них за сутки после процедуры.
Показано: 3 из
Гарантия

С нами вы уверены в отличном результате

Мы за безопасное и комфортное лечение! Бесплатно консультируем
и подходим к каждому случаю индивидуально. Даём гарантию
на материалы и работу.

Используем коффердам и аспирационную систему. Сотрудничаем
с производителями из Европы, США и Японии. Заботимся о вас,
как только вы переступили порог клиники!

О нас говорят

Искренние отзывы наших клиентов

Светлана Демидова
5.0
Уже несколько лет делаю гигиену полости рта у Назаровой Анны. Анна - настоящий профессионал и очень отзывчивый, добрый человек. Благодяря ей у меня всегда здоровые десны и белоснежная улыбка. Благодарю Анну за ее работу и человеческие качества.
31 марта 2018 г.
Ультразвуковая чистка зубов
Назарова (Крицкая) Анна Александровна
гигиенист, зубной врач
Светлана, большое Вам спасибо, очень приятно! Будьте здоровы!
Глобин Михаил
5.0
Я обращался в Виртуоз с тремя больными зубами. Клинику посоветовала родня. Тут очень чисто, современное оборудование и опытные и квалифицированные специалисты, я думаю, что это главные аспекты для всех заведений и не важно стоматология ли это или какое другое место. Залечили зубы качественно, сделали чистку, избавили от зубных камней. Буду еще обращаться и всем советую.
17 ноября 2017 г.
Ультразвуковая чистка зубов
Астапова Елена Сергеевна
Менеджер клиники «Виртуоз»
Михаил, добрый день! Спасибо за отзыв, нам очень приятно! Будьте здоровы!
За все время
работы мы получили
5 200+
положительных
отзывов

Мы дорожим репутацией и всегда стремимся выполнять работу на высоком профессиональном уровне.
В 98% случаев мы гарантируем успешный результат лечения.
Спасибо, что выбираете нас!

Врачи-виртуозы

Наша команда специалистов

Волкова
Мария Андреевна
Врач стоматолог-терапевт, гигиенист
Гребенникова
Елена Викторовна
Врач гигиенист, зубной врач
Каркаус
Николай Алексеевич
Врач пародонтолог, гигиенист

В стоматологическом центре «Виртуоз» работает команда ведущих стоматологов
Воронежа с безупречной репутацией, которые справляются
с самыми сложными ситуациями.

Какой вариант лечения подходит вам? Ответы вы можете получить на бесплатной
консультации у наших виртуозов, которые подберут для вас
наиболее оптимальное решение.

Мы поможем!
Получите консультацию
В любое время
с 8:00 до 10:00
c 10:00 до 13:00
с 13:00 до 17:00
с 17:00 до 20:00
с 20:00 до 22:00
С удовольствием ответим
на ваши вопросы
В ближайшее время с вами свяжется администратор нашей стоматологии
и уточнит детали