Размер шрифта: A A A
Цветовая схема:
Изображения: есть
+7 (473) 26-46-000
+7 (473) 212-24-98
Ежедневно с 8:00 до 22:00
+7 (473) 26-46-000
+7 (473) 212-24-98
Ежедневно с 8:00 до 22:00
+7 (473) 26-46-000
+7 (473) 212-24-98
Ежедневно с 8:00 до 22:00
Записаться
Поиск по сайту
Обратный звонок
В любое время
с 8:00 до 10:00
c 10:00 до 13:00
с 13:00 до 17:00
с 17:00 до 20:00
с 20:00 до 22:00
Нажимая кнопку «Перезвоните мне», я даю согласие на обработку моих персональных данных в соответствии с Политикой конфиденциальности.
Перезвоним в любое удобное
для вас время
Стоимость лечения:
Продолжительность:
18 месяцев
Направление:
Брекеты
Мы создаём красивые и здоровые улыбки каждый день. Доверьтесь нашим виртуозным профессионалам и обретите безупречную улыбку. Наш опыт, современные технологии и сервис всегда к вашим услугам!
Начало лечения

Консультация и диагностика

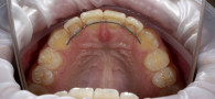
Улыбка после исправления прикуса

Пациентку 25 лет беспокоили скрученность и наклон зубов обеих челюстей. За помощью она обратилась к нам в клинику «Виртуоз».

Консультацию проводила врач-ортодонт Горяйнова Татьяна Сергеевна. После осмотра и диагностики доктор назначила ортодонтическое лечение, порекомендовав установку брекетов.

Брекеты — лучшее решение для исправления прикуса в любом возрасте

Ортодонтическое лечение длилось 18 месяцев. В результате зубы пациентки приняли правильное положение. Теперь девушка очень довольна своей улыбкой!

Ортодонтическое лечение

В период лечения пациентка носила брекеты, выполняла все рекомендации врача, следила за гигиеной зубов и ежемесячно приходила на корректировку в Центр стоматологии «Виртуоз». В конце лечения доктор назначила ношение ретейнеров для закрепления результата. Всего через полтора года зубы стали ровными и перестали доставлять девушке какой-либо дискомфорт.

Сравните

До и после лечения

Виртуозы

Улыбку создавали

Горяйнова Татьяна Сергеевна
стоматолог-ортодонт, гигиенист

Выпускница Воронежской государственной медицинской академии. Квалификация: «врач-стоматолог» по специальности «стоматология». Сертифицированный специалист в области ортодонтии и терапевтической стоматологии.

О враче
1 / 5
Смотрите также

Другие работы

Мы поможем!
Получите консультацию
В любое время
с 8:00 до 10:00
c 10:00 до 13:00
с 13:00 до 17:00
с 17:00 до 20:00
с 20:00 до 22:00
С удовольствием ответим
на ваши вопросы
В ближайшее время с вами свяжется администратор нашей стоматологии
и уточнит детали