Размер шрифта: A A A
Цветовая схема:
Изображения: есть
+7 (473) 26-46-000
+7 (473) 212-24-98
Ежедневно с 8:00 до 22:00
+7 (473) 26-46-000
+7 (473) 212-24-98
Ежедневно с 8:00 до 22:00
+7 (473) 26-46-000
+7 (473) 212-24-98
Ежедневно с 8:00 до 22:00
Записаться
Поиск по сайту
Обратный звонок
В любое время
с 8:00 до 10:00
c 10:00 до 13:00
с 13:00 до 17:00
с 17:00 до 20:00
с 20:00 до 22:00
Нажимая кнопку «Перезвоните мне», я даю согласие на обработку моих персональных данных в соответствии с Политикой конфиденциальности.
Перезвоним в любое удобное
для вас время
Стоимость лечения:
Продолжительность:
20 месяцев
Направление:
Брекеты
Мы создаём красивые и здоровые улыбки каждый день. Доверьтесь нашим виртуозным профессионалам и обретите безупречную улыбку. Наш опыт, современные технологии и сервис всегда к вашим услугам!
Диагностика и лечение

Исправление прикуса

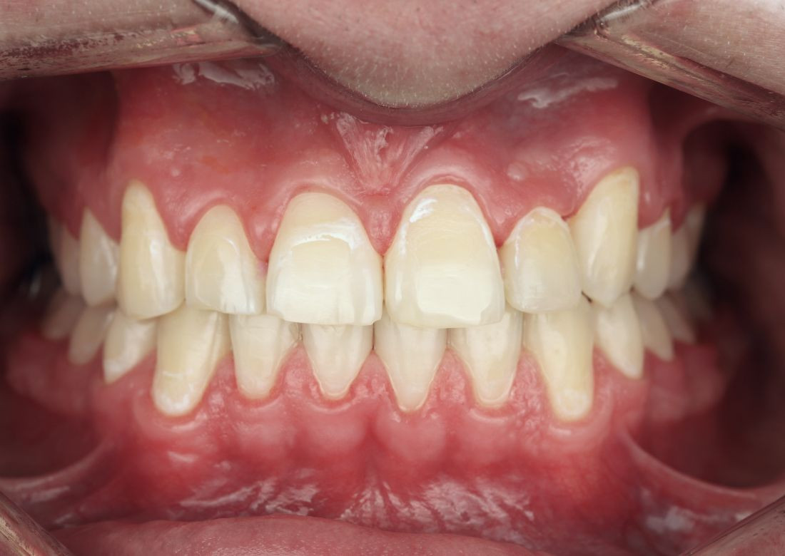
Семья с пациентом 13 лет обратилась к нам в клинику с жалобой на неэстетичный вид улыбки из-за неровного расположения зубов.

В ходе осмотра стоматолог-ортодонт Геворкян Ваге Гагикович провёл комплексную диагностику и выявил глубокий и перекрёстный прикус, а также несовпадение центральных линий зубных дуг. Ваге Гагикович разработал индивидуальный план ортодонтического лечения с использованием лигатурной брекет-системы.

Благодаря своевременно начатому лечению удалось полностью скорректировать положение зубов, восстановить гармоничную эстетику улыбки и обеспечить полноценную жевательную функцию.

Курс лечения продлился 18 месяцев.

Сравните

До и после лечения

Виртуозы

Улыбку создавали

Геворкян Ваге Гагикович
стоматолог-ортодонт

Окончил Воронежский медицинский университет имени И.И. Бурденко и получил квалификацию «врач-стоматолог» по специальности «стоматология».

О враче
1 / 5
Смотрите также

Другие работы

Мы поможем!
Получите консультацию
В любое время
с 8:00 до 10:00
c 10:00 до 13:00
с 13:00 до 17:00
с 17:00 до 20:00
с 20:00 до 22:00
С удовольствием ответим
на ваши вопросы
В ближайшее время с вами свяжется администратор нашей стоматологии
и уточнит детали