График работы в выходные и праздничные дни
Размер шрифта: A A A
Цветовая схема:
Изображения: есть
+7 (473) 26-46-000
+7 (473) 212-24-98
Ежедневно с 8:00 до 22:00
+7 (473) 26-46-000
+7 (473) 212-24-98
Ежедневно с 8:00 до 22:00
+7 (473) 26-46-000
+7 (473) 212-24-98
Ежедневно с 8:00 до 22:00
Записаться
Поиск по сайту
Обратный звонок
В любое время
с 8:00 до 10:00
c 10:00 до 13:00
с 13:00 до 17:00
с 17:00 до 20:00
с 20:00 до 22:00
Нажимая кнопку «Перезвоните мне», я даю согласие на обработку моих персональных данных в соответствии с Политикой конфиденциальности.
Перезвоним в любое удобное
для вас время
Стоимость лечения:
Продолжительность:
18 месяцев
Направление:
Брекеты
Мы создаём красивые и здоровые улыбки каждый день. Доверьтесь нашим виртуозным профессионалам и обретите безупречную улыбку. Наш опыт, современные технологии и сервис всегда к вашим услугам!
Начало лечения

Консультация и диагностика

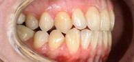
Улыбка после исправления прикуса

В клинику «Виртуоз» обратилась пациентка с жалобами на неудовлетворённость улыбкой из-за неровного расположения зубов.

После консультации и диагностики врач-ортодонт Ваге Гагикович предложил ортодонтическое лечение берекетами Damon Clear 2 (вч) и Damon Q2 на 4.4, 4.5, 3.4, 3.5.

Брекеты позволяют исправить недостатки прикуса и сделать вашу улыбку идеальной в любом возрасте.

Ортодонтическое лечение

Ортодонтическое лечение включало в себя установку брекет-систем, наблюдение врача и корректировку брекет систем по мере исправления прикуса. После окончания лечения пациентка два месяца носила ортодонтическую капу для закрепления результата. В итоге она получила ровную и красивую улыбку.

Сравните

До и после лечения

Виртуозы

Улыбку создавали

Геворкян Ваге Гагикович
стоматолог-ортодонт

Окончил Воронежский медицинский университет имени И.И. Бурденко и получил квалификацию «врач-стоматолог» по специальности «стоматология».

О враче
1 / 5
Смотрите также

Другие работы

Мы поможем!
Получите консультацию
В любое время
с 8:00 до 10:00
c 10:00 до 13:00
с 13:00 до 17:00
с 17:00 до 20:00
с 20:00 до 22:00
С удовольствием ответим
на ваши вопросы
В ближайшее время с вами свяжется администратор нашей стоматологии
и уточнит детали