График работы в выходные и праздничные дни
Размер шрифта: A A A
Цветовая схема:
Изображения: есть
+7 (473) 26-46-000
+7 (473) 212-24-98
Ежедневно с 8:00 до 22:00
+7 (473) 26-46-000
+7 (473) 212-24-98
Ежедневно с 8:00 до 22:00
+7 (473) 26-46-000
+7 (473) 212-24-98
Ежедневно с 8:00 до 22:00
Записаться
Поиск по сайту
Обратный звонок
В любое время
с 8:00 до 10:00
c 10:00 до 13:00
с 13:00 до 17:00
с 17:00 до 20:00
с 20:00 до 22:00
Нажимая кнопку «Перезвоните мне», я даю согласие на обработку моих персональных данных в соответствии с Политикой конфиденциальности.
Перезвоним в любое удобное
для вас время
Стоимость лечения:
Продолжительность:
16 месяцев
Направление:
Брекеты
Мы создаём красивые и здоровые улыбки каждый день. Доверьтесь нашим виртуозным профессионалам и обретите безупречную улыбку. Наш опыт, современные технологии и сервис всегда к вашим услугам!
Диагностика и лечение

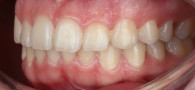
Коррекция перекрёстного прикуса в боковых отделах

Пациентка 16 лет. Обратилась с проблемой перекрёстного прикуса в боковых отделах. Она не могла свободно двигать челюстью, что провоцировало блок, болевые ощущения и вынужденное положение. Было постоянное давление на верхнее нёбо. За 16 месяцев лечения на брекетах ситуация была полностью исправлена. Врач не только восстановила правильное функционирование челюстей, но и выровняла центр, добившись отличной эстетики улыбки.

Благодаря профессионализму врача и правильно подобранному лечению у пациентки теперь идеально ровные зубы и правильный прикус!

Процесс работы

Для лечения использовались лигатурные металлические брекеты Damon Q2. Продолжительность лечения составила 16 месяцев.

Сравните

До и после лечения

Виртуозы

Улыбку создавали

Дмитриева Антонина Ивановна
стоматолог-ортодонт

Окончила Воронежскую государственную медицинскую академию им. Н.Н. Бурденко, квалификация: «Врач-стоматолог» по специальности «стоматология». Сертифицированный специалист в ортодонтическом лечении пациентов.

О враче
1 / 5
Смотрите также

Другие работы

Мы поможем!
Получите консультацию
В любое время
с 8:00 до 10:00
c 10:00 до 13:00
с 13:00 до 17:00
с 17:00 до 20:00
с 20:00 до 22:00
С удовольствием ответим
на ваши вопросы
В ближайшее время с вами свяжется администратор нашей стоматологии
и уточнит детали