График работы в выходные и праздничные дни
Размер шрифта: A A A
Цветовая схема:
Изображения: есть
+7 (473) 26-46-000
+7 (473) 212-24-98
Ежедневно с 8:00 до 22:00
+7 (473) 26-46-000
+7 (473) 212-24-98
Ежедневно с 8:00 до 22:00
+7 (473) 26-46-000
+7 (473) 212-24-98
Ежедневно с 8:00 до 22:00
Записаться
Поиск по сайту
Обратный звонок
В любое время
с 8:00 до 10:00
c 10:00 до 13:00
с 13:00 до 17:00
с 17:00 до 20:00
с 20:00 до 22:00
Нажимая кнопку «Перезвоните мне», я даю согласие на обработку моих персональных данных в соответствии с Политикой конфиденциальности.
Перезвоним в любое удобное
для вас время
Стоимость лечения:
Продолжительность:
16 дней
Направление:
Виниры
Мы создаём красивые и здоровые улыбки каждый день. Доверьтесь нашим виртуозным профессионалам и обретите безупречную улыбку. Наш опыт, современные технологии и сервис всегда к вашим услугам!
Диагностика и лечение

Восстановление эстетики

Преображённая улыбка

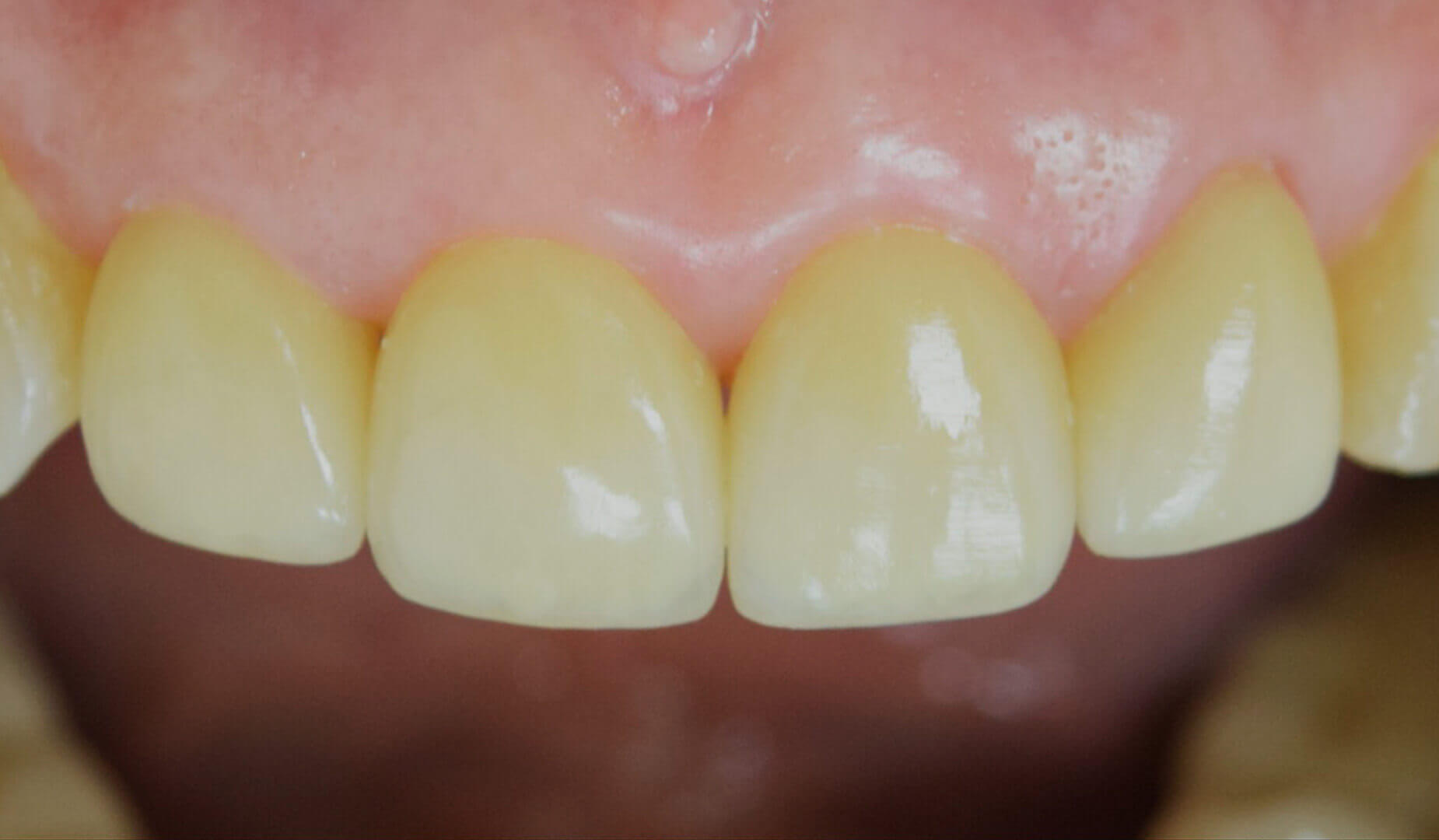
В Центр стоматологии «Виртуоз» обратилась пациентка в возрасте 60 лет для проведения санации полости рта и улучшения эстетического вида передних зубов в зоне улыбки.

После осмотра и обсуждения было принято решение выполнить эстетическую реставрацию с помощью виниров.

Керамические виниры — отличное современное эстетичное решение для проблемных передних зубов

Срок изготовления керамических виниров E-MAX составил 16 дней. Итоговый получившийся результат полностью удовлетворил и порадовал пациентку. Керамические виниры решили все поставленные задачи — улыбка выглядит эстетично и привлекательно.

Процесс работы

Доктор выполнил санацию полости рта и произвёл протезирование четырёх передних верхних зубов винирами E-MAX. Керамические виниры подобрали в цвет всех остальных зубов, изменили с их помощью форму, выровняли край и исправили наклон зубов. Цвет и форма были подобраны исходя из пожеланий пациентки и общей клинической ситуации.

Сравните

До и после лечения

Виртуозы

Улыбку создавали

Селин Роман Васильевич
стоматолог-терапевт, хирург, имплантолог, ортопед

Окончил Воронежский государственный медицинский университет. Получил квалификацию «врач-стоматолог» по специальности «стоматология». Имеет сертификацию в области терапевтической, хирургической и ортопедической стоматологии.

О враче
1 / 5
Смотрите также

Другие работы

Мы поможем!
Получите консультацию
В любое время
с 8:00 до 10:00
c 10:00 до 13:00
с 13:00 до 17:00
с 17:00 до 20:00
с 20:00 до 22:00
С удовольствием ответим
на ваши вопросы
В ближайшее время с вами свяжется администратор нашей стоматологии
и уточнит детали