Размер шрифта: A A A
Цветовая схема:
Изображения: есть
+7 (473) 26-46-000
+7 (473) 212-24-98
Ежедневно с 8:00 до 22:00
+7 (473) 26-46-000
+7 (473) 212-24-98
Ежедневно с 8:00 до 22:00
+7 (473) 26-46-000
+7 (473) 212-24-98
Ежедневно с 8:00 до 22:00
Записаться
Поиск по сайту
Обратный звонок
В любое время
с 8:00 до 10:00
c 10:00 до 13:00
с 13:00 до 17:00
с 17:00 до 20:00
с 20:00 до 22:00
Нажимая кнопку «Перезвоните мне», я даю согласие на обработку моих персональных данных в соответствии с Политикой конфиденциальности.
Перезвоним в любое удобное
для вас время
Стоимость лечения:
Продолжительность:
14 дней
Направление:
Виниры
Мы создаём красивые и здоровые улыбки каждый день. Доверьтесь нашим виртуозным профессионалам и обретите безупречную улыбку. Наш опыт, современные технологии и сервис всегда к вашим услугам!
Диагностика и лечение

Установка виниров

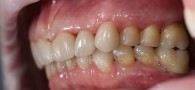
Пациент после установки виниров

В Центр стоматологии «Виртуоз» обратилась пациентка 55 лет с жалобами на щель между зубами и на общий неудовлетворительный вид передних зубов. Неэстетичный вид передних зубов долгое время доставлял ей моральный дискомфорт, мешал улыбаться и свободно общаться. После осмотра ей была предложена реставрация винирами.

Виниры — тонкие пластинки, которые устанавливаются на зубы, чтобы улучшить и изменить их внешний вид.

Керамические виниры преобразили улыбку до неузнаваемости, теперь комплексы и моральный дискомфорт в прошлом

В результате лечения пациентка довольна результатом и отметила улучшение качества жизни благодаря полному восстановлению эстетики.

Процесс работы

После осмотра и диагностики главный врач Центра стоматологии «Виртуоз» Сергей Владимирович порекомендовал установить пациентке керамические виниры в зоне улыбки — на 6 верхних и 6 нижних зубов, как самое эффективное решение для восстановления эстетики при комплексных проблемах. Виниры изготавливаются в любых оттенках для достижения необходимого цветового эффекта.

Сравните

До и после лечения

Через две недели виниры были изготовлены и зафиксированы.

Через две недели виниры были изготовлены и зафиксированы. Эстетические дефекты зубов, на которые жаловалась пациентка, были устранены. Пациентка довольна результатом.

Помимо высоких эстетических достоинств, положительными качествами виниров считаются полная биосовместимость и оптическая полупрозрачность, характерная для эмали естественных зубов.

Виртуозы

Улыбку создавали

Логачёв Сергей Владимирович
ортопед

Главный врач клиники «Виртуоз». Окончил Московский государственный медико-стоматологический университет (МГМСУ) с присвоением квалификации «врач-стоматолог». Сертифицированный специалист в ортопедической и хирургической стоматологии, организации здравоохранения и общественного здоровья.

О враче
1 / 5
Смотрите также

Другие работы

Мы поможем!
Получите консультацию
В любое время
с 8:00 до 10:00
c 10:00 до 13:00
с 13:00 до 17:00
с 17:00 до 20:00
с 20:00 до 22:00
С удовольствием ответим
на ваши вопросы
В ближайшее время с вами свяжется администратор нашей стоматологии
и уточнит детали