Размер шрифта: A A A
Цветовая схема:
Изображения: есть
+7 (473) 26-46-000
+7 (473) 212-24-98
Ежедневно с 8:00 до 22:00
+7 (473) 26-46-000
+7 (473) 212-24-98
Ежедневно с 8:00 до 22:00
+7 (473) 26-46-000
+7 (473) 212-24-98
Ежедневно с 8:00 до 22:00
Записаться
Поиск по сайту
Обратный звонок
В любое время
с 8:00 до 10:00
c 10:00 до 13:00
с 13:00 до 17:00
с 17:00 до 20:00
с 20:00 до 22:00
Нажимая кнопку «Перезвоните мне», я даю согласие на обработку моих персональных данных в соответствии с Политикой конфиденциальности.
Перезвоним в любое удобное
для вас время
Стоимость лечения:
Продолжительность:
12 месяцев
Направление:
Протезирование зубов
Мы создаём красивые и здоровые улыбки каждый день. Доверьтесь нашим виртуозным профессионалам и обретите безупречную улыбку. Наш опыт, современные технологии и сервис всегда к вашим услугам!
Диагностика и лечение

Дискомфорт из-за отсутствия зубов

Полное восстановление улыбки

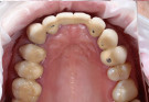
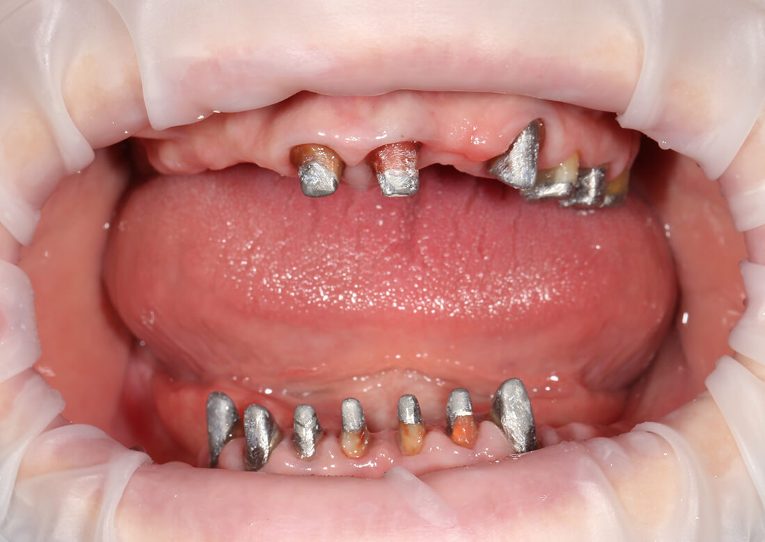
После проведения всех необходимых диагностических исследований и изучения компьютерной томограммы было принято коллегиальное решение. Все оставшиеся зубы подлежали удалению, затем должна быть проведена имплантация и установка протеза.

В Центр стоматологии «Виртуоз» обратилась по рекомендации женщина 54 лет. У пациентки наблюдался пародонтит в тяжёлой стадии, негативными последствиями которого стала потеря нескольких зубов и значительная подвижность оставшихся.

Потеря зубов доставляла пациентке физический и психологический дискомфорт, мешала свободно общаться и улыбаться. Основное пожелание — восстановить целостность зубных рядов с помощью эстетичного и функционального протезирования.

После лечения улыбка пациентки преобразилась до неузнаваемости, она стала часто улыбаться, а дискомфорт остался в прошлом

Процесс работы

После проведения всех необходимых диагностических исследований и изучения компьютерной томограммы было принято коллегиальное решение, что все оставшиеся зубы подлежат удалению. Хирург-имплантолог за один визит под седацией выполнил удаление всех зубов. На восстановление костной ткани потребовалось три месяца.

После заживления костной ткани хирургом была выполнена операция дентальной имплантации системой XIVE. Установлено 6 имплантатов на нижней челюсти и 6 имплантатов на верхней челюсти.

Пациентке предстояло ходить без зубов 9-12 месяцев, поэтому на этот период стоматолог-ортопед Роман Васильевич Селин изготовил временные съёмные протезы.

Через 6 месяцев после установки имплантатов пациентка была готова к постоянному протезированию. Телескопическое протезирование в Центре стоматологии «Виртуоз» в совершенстве выполняет главный врач Сергей Владимирович Логачёв, имеющий большой опыт работы со сложными клиническими случаями.

Спустя 12 месяцев лечение было полностью закончено. Улыбка пациентки преобразилась до неузнаваемости, она стала часто улыбаться, а дискомфорт остался в прошлом. Пациентка очень довольна результатом!

Сравните

До и после лечения

Виртуозы

Улыбку создавали

Логачёв Сергей Владимирович
ортопед

Главный врач клиники «Виртуоз». Окончил Московский государственный медико-стоматологический университет (МГМСУ) с присвоением квалификации «врач-стоматолог». Сертифицированный специалист в ортопедической и хирургической стоматологии, организации здравоохранения и общественного здоровья.

О враче
Селин Роман Васильевич
стоматолог-терапевт, хирург, имплантолог, ортопед

Окончил Воронежский государственный медицинский университет. Получил квалификацию «врач-стоматолог» по специальности «стоматология». Имеет сертификацию в области терапевтической, хирургической и ортопедической стоматологии.

О враче
1 / 5
Смотрите также

Другие работы

Мы поможем!
Получите консультацию
В любое время
с 8:00 до 10:00
c 10:00 до 13:00
с 13:00 до 17:00
с 17:00 до 20:00
с 20:00 до 22:00
С удовольствием ответим
на ваши вопросы
В ближайшее время с вами свяжется администратор нашей стоматологии
и уточнит детали