График работы в выходные и праздничные дни
Размер шрифта: A A A
Цветовая схема:
Изображения: есть
+7 (473) 26-46-000
+7 (473) 212-24-98
Ежедневно с 8:00 до 22:00
+7 (473) 26-46-000
+7 (473) 212-24-98
Ежедневно с 8:00 до 22:00
+7 (473) 26-46-000
+7 (473) 212-24-98
Ежедневно с 8:00 до 22:00
Записаться
Поиск по сайту
Обратный звонок
В любое время
с 8:00 до 10:00
c 10:00 до 13:00
с 13:00 до 17:00
с 17:00 до 20:00
с 20:00 до 22:00
Нажимая кнопку «Перезвоните мне», я даю согласие на обработку моих персональных данных в соответствии с Политикой конфиденциальности.
Перезвоним в любое удобное
для вас время
Стоимость лечения:
Продолжительность:
28 дней
Направление:
Протезирование зубов
Мы создаём красивые и здоровые улыбки каждый день. Доверьтесь нашим виртуозным профессионалам и обретите безупречную улыбку. Наш опыт, современные технологии и сервис всегда к вашим услугам!
Диагностика и лечение

Физический и эстетический дискомфорт

Восстановление жевательной функции

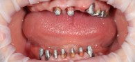
В Центр стоматологии «Виртуоз» обратилась пациентка с жалобами на практически полное отсутствие зубов верхней и нижней челюсти, невозможность полноценно принимать пищу, эстетические дефекты.

Основное пожелание пациентки — восстановить целостность зубных рядов, жевательную функцию и эстетичный вид улыбки.

Спустя 28 дней лечение было полностью закончено, врач полностью преобразил улыбку пациентки, вернув ей эстетику

Улыбка пациентки преобразилась до неузнаваемости, она довольна эстетическим эффектом и восстановлением жевательной функции и дикции после окончания лечения.

Процесс работы

После проведения всех необходимых диагностических исследований и изучения компьютерной томограммы врач стоматолог-ортопед Пётр Фёдорович Алёшин составил комплексный план лечения пациентки, который включил в себя несколько этапов:

  • Полную санацию полости рта
  • Лечение заболеваний пародонта
  • Изготовление и установку бюгельного протеза с телескопической фиксацией на верхней челюсти
  • Изготовление и фиксацию бюгельного протеза на нижней челюсти
Сравните

До и после лечения

Виртуозы

Улыбку создавали

Алёшин Пётр Фёдорович
ортопед

Закончил Воронежскую государственную медицинскую академию. Получил квалификацию «стоматолог-ортопед». Сертифицированный специалист в области терапевтической, ортопедической и хирургической стоматологии.

О враче
1 / 5
Смотрите также

Другие работы

Мы поможем!
Получите консультацию
В любое время
с 8:00 до 10:00
c 10:00 до 13:00
с 13:00 до 17:00
с 17:00 до 20:00
с 20:00 до 22:00
С удовольствием ответим
на ваши вопросы
В ближайшее время с вами свяжется администратор нашей стоматологии
и уточнит детали