Размер шрифта: A A A
Цветовая схема:
Изображения: есть
+7 (473) 26-46-000
+7 (473) 212-24-98
Ежедневно с 8:00 до 22:00
+7 (473) 26-46-000
+7 (473) 212-24-98
Ежедневно с 8:00 до 22:00
+7 (473) 26-46-000
+7 (473) 212-24-98
Ежедневно с 8:00 до 22:00
Записаться
Поиск по сайту
Обратный звонок
В любое время
с 8:00 до 10:00
c 10:00 до 13:00
с 13:00 до 17:00
с 17:00 до 20:00
с 20:00 до 22:00
Нажимая кнопку «Перезвоните мне», я даю согласие на обработку моих персональных данных в соответствии с Политикой конфиденциальности.
Перезвоним в любое удобное
для вас время
Стоимость лечения:
Продолжительность:
3,5 месяца
Направление:
Протезирование зубов
Мы создаём красивые и здоровые улыбки каждый день. Доверьтесь нашим виртуозным профессионалам и обретите безупречную улыбку. Наш опыт, современные технологии и сервис всегда к вашим услугам!
Диагностика и лечение

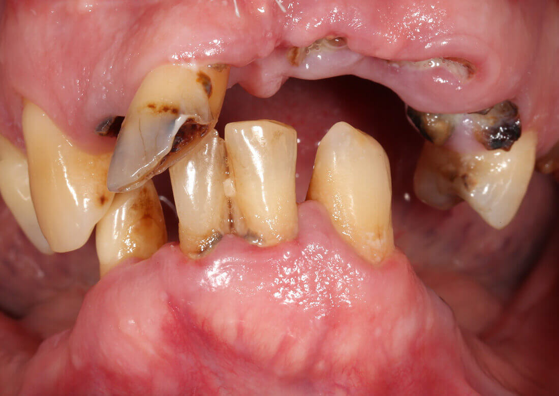
Проблемы с зубами

Новая улыбка пациента

В клинику обратился пациент с разрушенными зубами. Много лет он лечил их, врачи пытались восстановить.

Осмотр и детальная диагностика показали, что спасти большинство зубов не получится. Старые коронки износились, требовалась замена. Врач рекомендовал изготовление и установку полного бюгельного протеза на верхнюю челюсть и бюгельного протеза на замках Bredent на нижнюю челюсть.

Установка протезов решила проблемы с зубами. Восстановлена жевательная и эстетическая функции.

Сравните

До и после лечения

Виртуозы

Улыбку создавали

Алёшин Пётр Фёдорович
ортопед

Закончил Воронежскую государственную медицинскую академию. Получил квалификацию «стоматолог-ортопед». Сертифицированный специалист в области терапевтической, ортопедической и хирургической стоматологии.

О враче
1 / 5
Смотрите также

Другие работы

Мы поможем!
Получите консультацию
В любое время
с 8:00 до 10:00
c 10:00 до 13:00
с 13:00 до 17:00
с 17:00 до 20:00
с 20:00 до 22:00
С удовольствием ответим
на ваши вопросы
В ближайшее время с вами свяжется администратор нашей стоматологии
и уточнит детали