График работы в выходные и праздничные дни
Размер шрифта: A A A
Цветовая схема:
Изображения: есть
+7 (473) 26-46-000
+7 (473) 212-24-98
Ежедневно с 8:00 до 22:00
+7 (473) 26-46-000
+7 (473) 212-24-98
Ежедневно с 8:00 до 22:00
+7 (473) 26-46-000
+7 (473) 212-24-98
Ежедневно с 8:00 до 22:00
Записаться
Поиск по сайту
Обратный звонок
В любое время
с 8:00 до 10:00
c 10:00 до 13:00
с 13:00 до 17:00
с 17:00 до 20:00
с 20:00 до 22:00
Нажимая кнопку «Перезвоните мне», я даю согласие на обработку моих персональных данных в соответствии с Политикой конфиденциальности.
Перезвоним в любое удобное
для вас время
Стоимость лечения:
Продолжительность:
1 месяц
Направление:
Протезирование зубов
Мы создаём красивые и здоровые улыбки каждый день. Доверьтесь нашим виртуозным профессионалам и обретите безупречную улыбку. Наш опыт, современные технологии и сервис всегда к вашим услугам!
Диагностика и лечение

Эстетическое протезирование

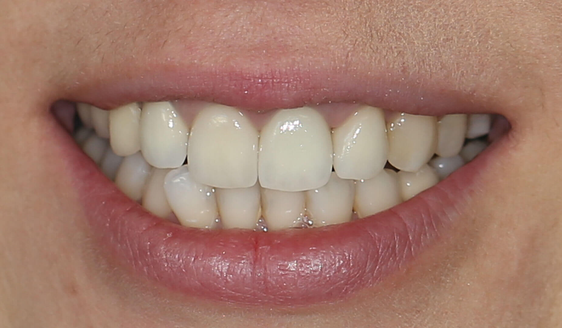
Улыбка пациента после протезирования

В Центр стоматологии «Виртуоз» обратилась пациентка с жалобами на недостаточно эстетичный вид передних зубов на верхней челюсти и просьбой создать безупречную белоснежную улыбку. После диагностического обследования и обсуждения нюансов было принято решение выполнить эстетическое протезирование четырёх передних зубов безметалловой керамикой.

Цвет для безметаллических коронок подбирается при максимальном соответствии цвету эмали зубов пациентки

Через месяц лечение было полностью окончено. Улыбка пациентки преобразилась до неузнаваемости — благодаря эстетическому микропротезированию мы получили ярко выраженный эстетический результат.

Процесс работы

После диагностики и консультации было решено провести микропротезирование передних зубов коронками на основе диоксида циркония.

  • Подобрали цвет эмали для безметаллических коронок, который максимально соответствует цвету эмали зубов пациентки;
  • Подготовили четыре зуба верхней челюсти к предстоящему протезированию: сняли слепки зубов и обточили зубы для установки коронок;
  • Изготовили и установили для пациентки безметалловые коронки из диоксида циркония.
Сравните

До и после лечения

Виртуозы

Улыбку создавали

Ковалёв Кирилл Владимирович
стоматолог-хирург, имплантолог, ортопед

Закончил Воронежскую государственную медицинскую академию. Сертифицированный доктор в области хирургической и терапевтической стоматологии.

О враче
1 / 5
Смотрите также

Другие работы

Мы поможем!
Получите консультацию
В любое время
с 8:00 до 10:00
c 10:00 до 13:00
с 13:00 до 17:00
с 17:00 до 20:00
с 20:00 до 22:00
С удовольствием ответим
на ваши вопросы
В ближайшее время с вами свяжется администратор нашей стоматологии
и уточнит детали