Размер шрифта: A A A
Цветовая схема:
Изображения: есть
+7 (473) 26-46-000
+7 (473) 212-24-98
Ежедневно с 8:00 до 22:00
+7 (473) 26-46-000
+7 (473) 212-24-98
Ежедневно с 8:00 до 22:00
+7 (473) 26-46-000
+7 (473) 212-24-98
Ежедневно с 8:00 до 22:00
Записаться
Поиск по сайту
Обратный звонок
В любое время
с 8:00 до 10:00
c 10:00 до 13:00
с 13:00 до 17:00
с 17:00 до 20:00
с 20:00 до 22:00
Нажимая кнопку «Перезвоните мне», я даю согласие на обработку моих персональных данных в соответствии с Политикой конфиденциальности.
Перезвоним в любое удобное
для вас время
Стоимость лечения:
Продолжительность:
5 дней
Направление:
Лечение зубов
Мы создаём красивые и здоровые улыбки каждый день. Доверьтесь нашим виртуозным профессионалам и обретите безупречную улыбку. Наш опыт, современные технологии и сервис всегда к вашим услугам!
Диагностика и лечение

Эстетическая реставрация

Новая улыбка пациентки

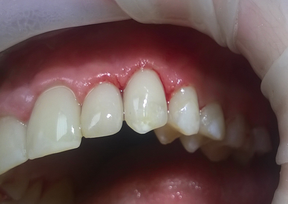
В Центр стоматологии «Виртуоз» обратилась пациентка с жалобами на некрасивый вид улыбки, в особенности двух передних зубов. На приёме наш опытный доктор предложила ей эстетическую реставрацию. Пациентка согласилась, и врач сразу приступила к работе.

Для возвращения красивой улыбки были установлены композитные виниры с использованием пломбировочного материала высокого качества

Процесс работы

После проведения всех необходимых диагностических исследований и изучения компьютерной томограммы врач Гончарова Мария Евгеньевна составила комплексный план лечения пациентки, который включил в себя профессиональную гигиену полости рта и восстановление зубов при помощи композитной реставрации.

Сравните

До и после лечения

Виртуозы

Улыбку создавали

Гончарова Мария Евгеньевна
стоматолог-терапевт, ортопед

Закончила Воронежскую государственную медицинскую академию и получила квалификацию «врач-стоматолог» по специальности «стоматология». Имеет сертификацию в области ортопедической и терапевтической стоматологии.

О враче
1 / 5
Смотрите также

Другие работы

Мы поможем!
Получите консультацию
В любое время
с 8:00 до 10:00
c 10:00 до 13:00
с 13:00 до 17:00
с 17:00 до 20:00
с 20:00 до 22:00
С удовольствием ответим
на ваши вопросы
В ближайшее время с вами свяжется администратор нашей стоматологии
и уточнит детали