Размер шрифта: A A A
Цветовая схема:
Изображения: есть
+7 (473) 26-46-000
+7 (473) 212-24-98
Ежедневно с 8:00 до 22:00
+7 (473) 26-46-000
+7 (473) 212-24-98
Ежедневно с 8:00 до 22:00
+7 (473) 26-46-000
+7 (473) 212-24-98
Ежедневно с 8:00 до 22:00
Записаться
Поиск по сайту
Обратный звонок
В любое время
с 8:00 до 10:00
c 10:00 до 13:00
с 13:00 до 17:00
с 17:00 до 20:00
с 20:00 до 22:00
Нажимая кнопку «Перезвоните мне», я даю согласие на обработку моих персональных данных в соответствии с Политикой конфиденциальности.
Перезвоним в любое удобное
для вас время
Стоимость лечения:
Продолжительность:
11 месяцев
Мы создаём красивые и здоровые улыбки каждый день. Доверьтесь нашим виртуозным профессионалам и обретите безупречную улыбку. Наш опыт, современные технологии и сервис всегда к вашим услугам!
Диагностика и лечение

Выравнивание зубов

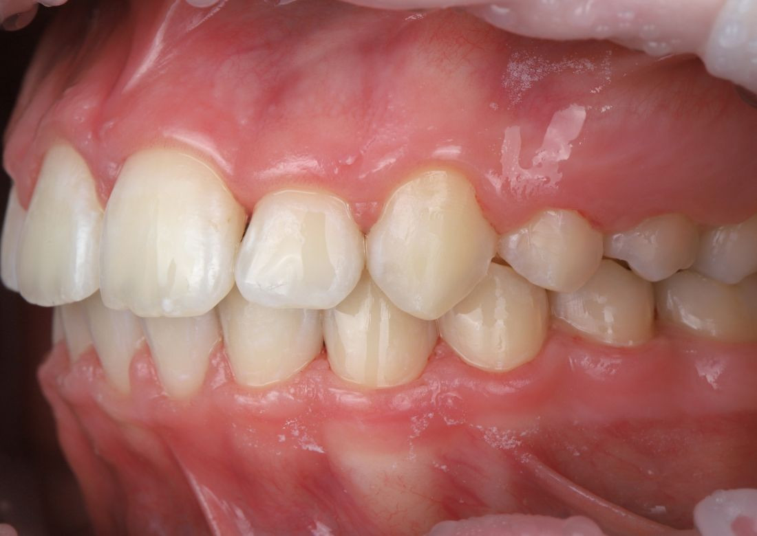
Улыбка пациентки после лечения

К нам обратилась Валерия, 14 лет, с перекрестным прикусом в боковом отделе справа, скученностью зубов и несовпадением центральной линии между челюстями. Для лечения была выбрана металлическая лигатурная брекет-система Mini Diamond, установленная на обеих челюстях. Доктор Дмитриева Антонина Ивановна провела коррекцию прикуса, устранив скученность и восстановив правильное соотношение зубных рядов. Результат – ровные зубы, здоровый прикус и естественная улыбка.

Благодаря правильно выбранной тактике лечения врачом, Валерия наслаждается не только улучшением эстетики, но и комфортом при жевании

Добиться прекрасного результата и исправить прикус удалось всего за 11 месяцев! Зубы стали выглядеть эстетично, а улыбка — гармонично.

Сравните

До и после лечения

Виртуозы

Улыбку создавали

Дмитриева Антонина Ивановна
стоматолог-ортодонт

Окончила Воронежскую государственную медицинскую академию им. Н.Н. Бурденко, квалификация: «Врач-стоматолог» по специальности «стоматология». Сертифицированный специалист в ортодонтическом лечении пациентов.

О враче
1 / 5
Смотрите также

Другие работы

Мы поможем!
Получите консультацию
В любое время
с 8:00 до 10:00
c 10:00 до 13:00
с 13:00 до 17:00
с 17:00 до 20:00
с 20:00 до 22:00
С удовольствием ответим
на ваши вопросы
В ближайшее время с вами свяжется администратор нашей стоматологии
и уточнит детали