График работы в выходные и праздничные дни
Размер шрифта: A A A
Цветовая схема:
Изображения: есть
+7 (473) 26-46-000
+7 (473) 212-24-98
Ежедневно с 8:00 до 22:00
+7 (473) 26-46-000
+7 (473) 212-24-98
Ежедневно с 8:00 до 22:00
+7 (473) 26-46-000
+7 (473) 212-24-98
Ежедневно с 8:00 до 22:00
Записаться
Поиск по сайту
Обратный звонок
В любое время
с 8:00 до 10:00
c 10:00 до 13:00
с 13:00 до 17:00
с 17:00 до 20:00
с 20:00 до 22:00
Нажимая кнопку «Перезвоните мне», я даю согласие на обработку моих персональных данных в соответствии с Политикой конфиденциальности.
Перезвоним в любое удобное
для вас время
Мы благодарны всем, кто остановил свой выбор на стоматологическом центре «Виртуоз» и стал нашим постоянным клиентом. Мы рады, что вы высоко оцениваете качество нашего обслуживания и мастерство врачей-виртуозов!
Многолетний опыт

Решаем самые сложные проблемы

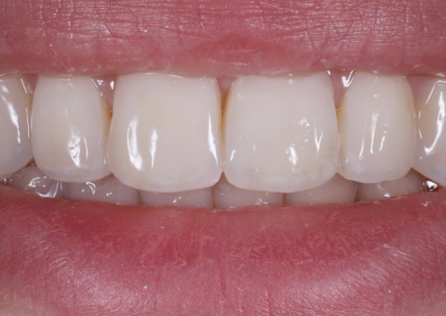
Колоссальный опыт стоматологов — визитная карточка клиники «Виртуоз» в Воронеже. Специально для вас мы создали страничку,
на которой разместили портфолио с работами наших врачей.

Мы регулярно добавляем фото до и после лечения, чтобы вы могли посмотреть финальный результат работы и оценить качество.

За каждой счастливой улыбкой стоит живая история, в которой мы принимали непосредственное участие. Мы всегда вникаем
в ситуацию наших пациентов и переживаем её вместе с ними.

Ваша здоровая улыбка — лучшая награда для нас.
Спасибо, что выбрали и продолжаете выбирать нас!

Выберите услугу
Выберите услугу
Мы поможем!
Получите консультацию
В любое время
с 8:00 до 10:00
c 10:00 до 13:00
с 13:00 до 17:00
с 17:00 до 20:00
с 20:00 до 22:00
С удовольствием ответим
на ваши вопросы
В ближайшее время с вами свяжется администратор нашей стоматологии
и уточнит детали