График работы в выходные и праздничные дни
Размер шрифта: A A A
Цветовая схема:
Изображения: есть
+7 (473) 26-46-000
+7 (473) 212-24-98
Ежедневно с 8:00 до 22:00
+7 (473) 26-46-000
+7 (473) 212-24-98
Ежедневно с 8:00 до 22:00
+7 (473) 26-46-000
+7 (473) 212-24-98
Ежедневно с 8:00 до 22:00
Записаться
Поиск по сайту
Обратный звонок
В любое время
с 8:00 до 10:00
c 10:00 до 13:00
с 13:00 до 17:00
с 17:00 до 20:00
с 20:00 до 22:00
Нажимая кнопку «Перезвоните мне», я даю согласие на обработку моих персональных данных в соответствии с Политикой конфиденциальности.
Перезвоним в любое удобное
для вас время
Стоимость лечения:
Продолжительность:
22 месяца
Направление:
Брекеты
Мы создаём красивые и здоровые улыбки каждый день. Доверьтесь нашим виртуозным профессионалам и обретите безупречную улыбку. Наш опыт, современные технологии и сервис всегда к вашим услугам!
Диагностика и лечение

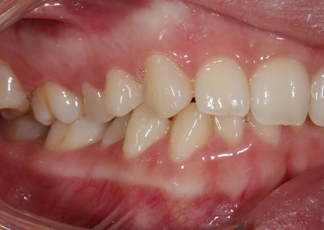
Коррекция выраженной скученности зубов

В клинику обратился пациент, 26 лет, с ярко выраженной скученностью зубов на обеих челюстях. Сильно страдала эстетика. Пациент стеснялся улыбаться, и даже обычный разговор был непростым испытанием. За 22 месяца все дефекты зубного ряда были полностью исправлены. Брекеты сняли, а для закрепления результата зафиксировали ретейнер на тыльной стороне зубов. О нём никто и не знает, кроме пациента.

Благодаря профессионализму врача и правильно подобранному лечению у пациента теперь идеально ровные зубы!

Процесс работы

Для лечения использовались лигатурные металлические брекеты. Продолжительность лечения составила 22 месяца.

Сравните

До и после лечения

Виртуозы

Улыбку создавали

Геворкян Ваге Гагикович
стоматолог-ортодонт

Окончил Воронежский медицинский университет имени И.И. Бурденко и получил квалификацию «врач-стоматолог» по специальности «стоматология».

О враче
1 / 5
Смотрите также

Другие работы

Мы поможем!
Получите консультацию
В любое время
с 8:00 до 10:00
c 10:00 до 13:00
с 13:00 до 17:00
с 17:00 до 20:00
с 20:00 до 22:00
С удовольствием ответим
на ваши вопросы
В ближайшее время с вами свяжется администратор нашей стоматологии
и уточнит детали