График работы в выходные и праздничные дни
Размер шрифта: A A A
Цветовая схема:
Изображения: есть
+7 (473) 26-46-000
+7 (473) 212-24-98
Ежедневно с 8:00 до 22:00
+7 (473) 26-46-000
+7 (473) 212-24-98
Ежедневно с 8:00 до 22:00
+7 (473) 26-46-000
+7 (473) 212-24-98
Ежедневно с 8:00 до 22:00
Записаться
Поиск по сайту
Обратный звонок
В любое время
с 8:00 до 10:00
c 10:00 до 13:00
с 13:00 до 17:00
с 17:00 до 20:00
с 20:00 до 22:00
Нажимая кнопку «Перезвоните мне», я даю согласие на обработку моих персональных данных в соответствии с Политикой конфиденциальности.
Перезвоним в любое удобное
для вас время
Стоимость лечения:
Продолжительность:
3 визита
Направление:
Лечение зубов
Мы создаём красивые и здоровые улыбки каждый день. Доверьтесь нашим виртуозным профессионалам и обретите безупречную улыбку. Наш опыт, современные технологии и сервис всегда к вашим услугам!
Диагностика и лечение

Восстановление улыбки

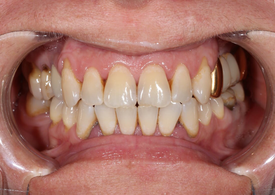
В клинику обратилась пациентка с пожеланиями улучшить эстетику улыбки.

После осмотра наш специалист Гончарова Мария Евгеньевна предложила решить проблему путём восстановления композитными материалами.

После лечения пациентка осталась полностью довольна своей улыбкой!

Процесс работы

После проведения всех необходимых диагностических исследований врач-стоматолог Гончарова Мария Евгеньевна составила план лечения пациентки, который включил в себя несколько этапов:

  • Моделирование реставрации;
  • Профессиональная гигиена полости рта;
  • Реставрация зубов.
Сравните

До и после лечения

Виртуозы

Улыбку создавали

Гончарова Мария Евгеньевна
стоматолог-терапевт, ортопед

Закончила Воронежскую государственную медицинскую академию и получила квалификацию «врач-стоматолог» по специальности «стоматология». Имеет сертификацию в области ортопедической и терапевтической стоматологии.

О враче
1 / 5
Смотрите также

Другие работы

Мы поможем!
Получите консультацию
В любое время
с 8:00 до 10:00
c 10:00 до 13:00
с 13:00 до 17:00
с 17:00 до 20:00
с 20:00 до 22:00
С удовольствием ответим
на ваши вопросы
В ближайшее время с вами свяжется администратор нашей стоматологии
и уточнит детали