График работы в выходные и праздничные дни
Размер шрифта: A A A
Цветовая схема:
Изображения: есть
+7 (473) 26-46-000
+7 (473) 212-24-98
Ежедневно с 8:00 до 22:00
+7 (473) 26-46-000
+7 (473) 212-24-98
Ежедневно с 8:00 до 22:00
+7 (473) 26-46-000
+7 (473) 212-24-98
Ежедневно с 8:00 до 22:00
Записаться
Поиск по сайту
Обратный звонок
В любое время
с 8:00 до 10:00
c 10:00 до 13:00
с 13:00 до 17:00
с 17:00 до 20:00
с 20:00 до 22:00
Нажимая кнопку «Перезвоните мне», я даю согласие на обработку моих персональных данных в соответствии с Политикой конфиденциальности.
Перезвоним в любое удобное
для вас время
Стоимость лечения:
Продолжительность:
2 визита
Направление:
Лечение зубов
Мы создаём красивые и здоровые улыбки каждый день. Доверьтесь нашим виртуозным профессионалам и обретите безупречную улыбку. Наш опыт, современные технологии и сервис всегда к вашим услугам!
Диагностика и лечение

Эстетико-функциональное восстановление

Результаты лечения

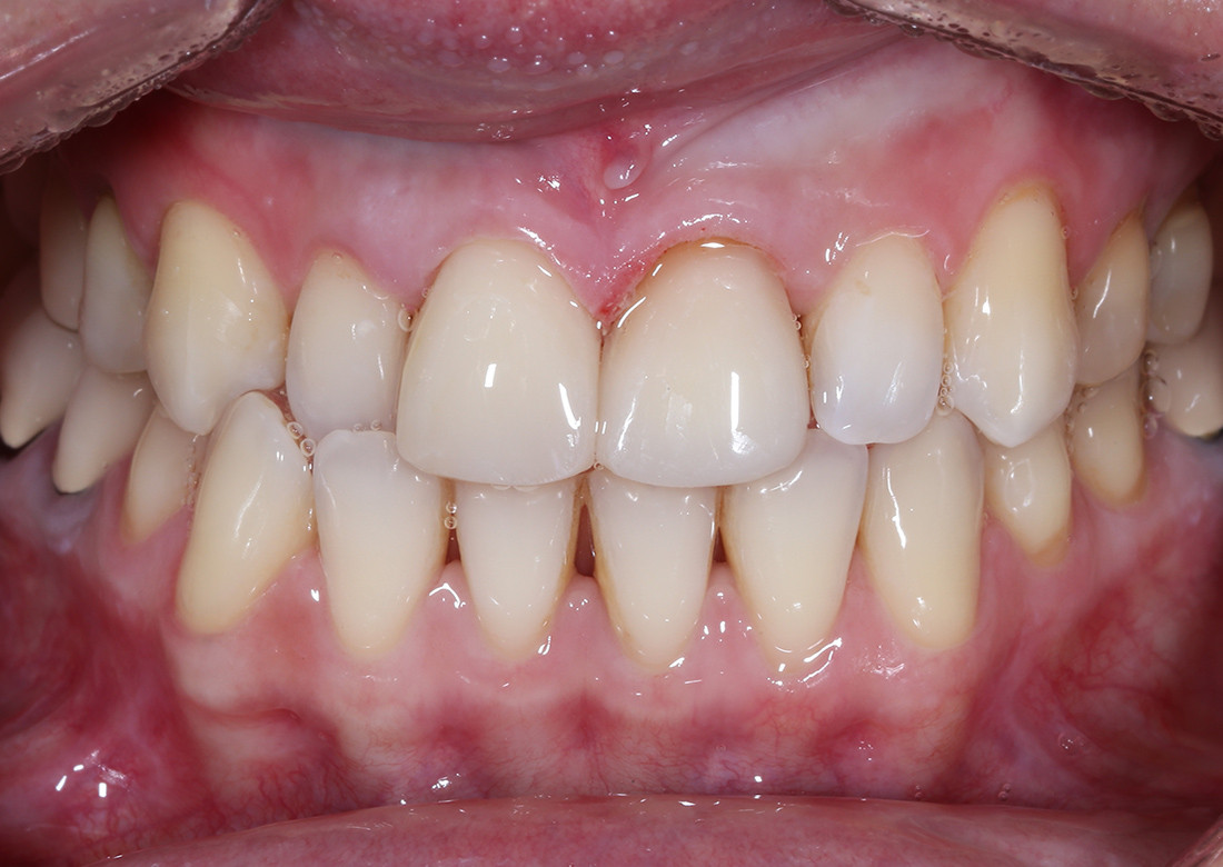
В наш Центр обратилась пациентка, которая хотела заменить старые пломбы на жевательных зубах. Она была недовольна внешним видом зубов и беспокоилась о сохранении полноценных жевательных функций. После осмотра Малик Абдурахманович предложил провести эстетико-функциональную реставрацию жевательных зубов.

За несколько визитов был достигнут прекрасный результат и учтены все пожелания пациентки

Сравните

До и после лечения

Виртуозы

Улыбку создавали

Кумбутаев Малик Абдурахманович
стоматолог-терапевт, ортопед

Окончил Воронежскую Государственную Медицинскую Академию, квалификация: «врач-стоматолог» по специальности «стоматология». Сертифицированный специалист в терапевтической стоматологии.

О враче
1 / 5
Смотрите также

Другие работы

Мы поможем!
Получите консультацию
В любое время
с 8:00 до 10:00
c 10:00 до 13:00
с 13:00 до 17:00
с 17:00 до 20:00
с 20:00 до 22:00
С удовольствием ответим
на ваши вопросы
В ближайшее время с вами свяжется администратор нашей стоматологии
и уточнит детали