Размер шрифта: A A A
Цветовая схема:
Изображения: есть
+7 (473) 26-46-000
+7 (473) 212-24-98
Ежедневно с 8:00 до 22:00
+7 (473) 26-46-000
+7 (473) 212-24-98
Ежедневно с 8:00 до 22:00
+7 (473) 26-46-000
+7 (473) 212-24-98
Ежедневно с 8:00 до 22:00
Записаться
Поиск по сайту
Обратный звонок
В любое время
с 8:00 до 10:00
c 10:00 до 13:00
с 13:00 до 17:00
с 17:00 до 20:00
с 20:00 до 22:00
Нажимая кнопку «Перезвоните мне», я даю согласие на обработку моих персональных данных в соответствии с Политикой конфиденциальности.
Перезвоним в любое удобное
для вас время
Стоимость лечения:
Продолжительность:
1 приём
Направление:
Лечение зубов
Мы создаём красивые и здоровые улыбки каждый день. Доверьтесь нашим виртуозным профессионалам и обретите безупречную улыбку. Наш опыт, современные технологии и сервис всегда к вашим услугам!
Диагностика и лечение

Устранение проблемы

Новая улыбка пациента

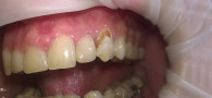
В Центр стоматологии «Виртуоз» обратился пациент с жалобами на эстетический дефект зуба и боли от температурных и химических раздражителей. Врач провёл осмотр, изучил данные диагностики и назначил лечение.

Своевременное лечение помогает предотвратить серъёзные заболевания зубов в будущем

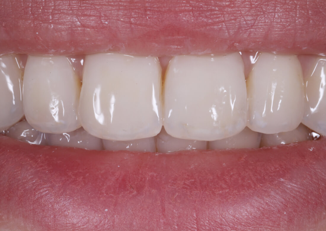
Стоматологическое лечение было выполнено всего за один сеанс без боли и дискомфортных ощущений. Результат — здоровая красивая улыбка пациента!

Процесс работы

Врач Центра стоматологии «Виртуоз» Копысова Наталья Сергеевна решила проблему, препарировав кариозную полость и восстановив поврежденный зуб композитным материалом «Estelitе». Пациент доволен результатом лечения!

Сравните

До и после лечения

Виртуозы

Улыбку создавали

Копысова (Богданова) Наталья Сергеевна
стоматолог-терапевт

Окончила Воронежский государственный медицинский университет. Имеет квалификацию «врач-стоматолог» по специальности «стоматология». Сертифицированный доктор в области терапевтической стоматологии.

О враче
1 / 5
Смотрите также

Другие работы

Мы поможем!
Получите консультацию
В любое время
с 8:00 до 10:00
c 10:00 до 13:00
с 13:00 до 17:00
с 17:00 до 20:00
с 20:00 до 22:00
С удовольствием ответим
на ваши вопросы
В ближайшее время с вами свяжется администратор нашей стоматологии
и уточнит детали