График работы в выходные и праздничные дни
Размер шрифта: A A A
Цветовая схема:
Изображения: есть
+7 (473) 26-46-000
+7 (473) 212-24-98
Ежедневно с 8:00 до 22:00
+7 (473) 26-46-000
+7 (473) 212-24-98
Ежедневно с 8:00 до 22:00
+7 (473) 26-46-000
+7 (473) 212-24-98
Ежедневно с 8:00 до 22:00
Записаться
Поиск по сайту
Обратный звонок
В любое время
с 8:00 до 10:00
c 10:00 до 13:00
с 13:00 до 17:00
с 17:00 до 20:00
с 20:00 до 22:00
Нажимая кнопку «Перезвоните мне», я даю согласие на обработку моих персональных данных в соответствии с Политикой конфиденциальности.
Перезвоним в любое удобное
для вас время
Стоимость лечения:
Продолжительность:
3 визита
Направление:
Имплантация зубов
Мы создаём красивые и здоровые улыбки каждый день. Доверьтесь нашим виртуозным профессионалам и обретите безупречную улыбку. Наш опыт, современные технологии и сервис всегда к вашим услугам!
Диагностика и подготовка

Оптимальный вариант

Результат лечения

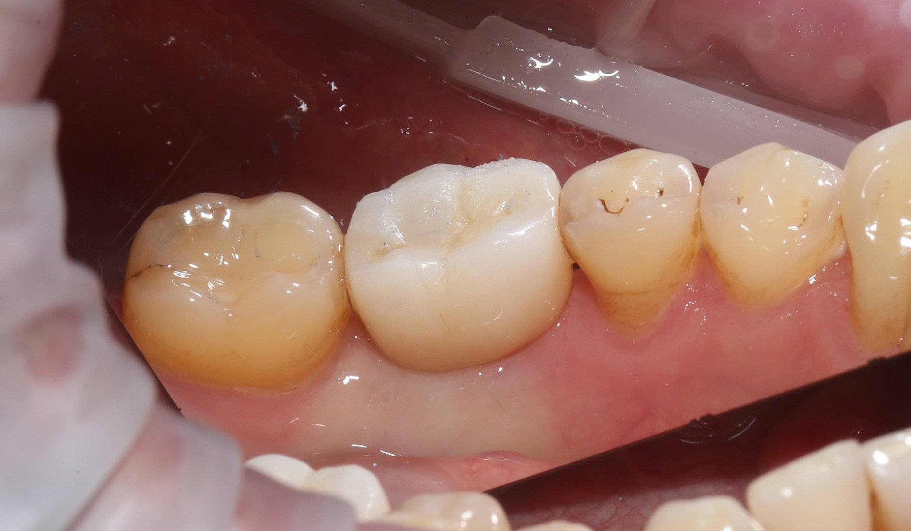
В стоматологию «Виртуоз» обратился пациент для проведения имплантации на боковых зубах. Лечащим врачом выступил стоматолог-имплантолог Ковалёв Кирилл Владимирович.

После тщательного осмотра была назначена диагностика организма для выявления возможных противопоказаний к имплантации. После того, как анализы и компьютерная томограмма подтвердили готовность к операции, Кирилл Владимирович вместе с пациентом составили план лечения.

Имплантация — оптимальный вариант полного восстановления отсутствующих зубов

Лучше всего о работе наших врачей скажет их портфолио, которое мы бережно собираем, чтобы вы лично могли увидеть результаты лечения.

Процесс и результат

Были проведены следующие работы:

  • удаление разрушенного зуба;
  • установка 2-х имплантов;
  • установка 2-х формирователей десневой манжетки;
  • снятие швов через 14 дней;
  • рентгеноконтроль;
  • снятие слепков под постоянные коронки из диоксида циркония с винтовой фиксацией;
  • фиксация постоянных коронок.

Коронки подобраны по цвету совместно с пациентом и не отличаются от настоящих зубов по эстетике и твёрдости! Данный клинический случай наглядно демонстрирует возможности передовых методик имплантации и протезирования. Минимизация хирургических этапов лечения, короткие сроки заживления и высокое качество протезирования — основные преимущества технологии.

Сравните

До и после лечения

Виртуозы

Улыбку создавали

Ковалёв Кирилл Владимирович
стоматолог-хирург, имплантолог, ортопед

Закончил Воронежскую государственную медицинскую академию. Сертифицированный доктор в области хирургической и терапевтической стоматологии.

О враче
1 / 5
Смотрите также

Другие работы

Мы поможем!
Получите консультацию
В любое время
с 8:00 до 10:00
c 10:00 до 13:00
с 13:00 до 17:00
с 17:00 до 20:00
с 20:00 до 22:00
С удовольствием ответим
на ваши вопросы
В ближайшее время с вами свяжется администратор нашей стоматологии
и уточнит детали